دربارهی ECHO HEART WALL SEGMENTS QUIZ
رویکرد بصری مبتنی بر آزمون برای یادگیری بخشهای قلب AHA: اکوکاردیوگرافی
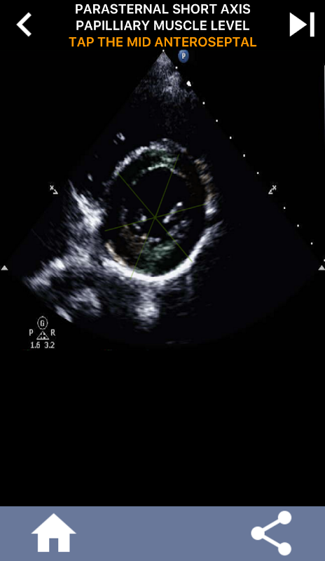
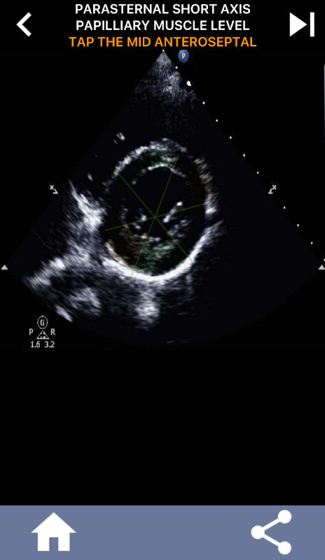
درک بخش های قلب AHA (انجمن قلب آمریکا) برای یک متخصص سونوگرافی قلب برای برقراری ارتباط موثر با متخصص قلب که گزارش را می نویسد بسیار مهم است. با دانستن نواحی آناتومیکی خاص و بخشهای مربوط به آنها، سونوگرافیست میتواند هر گونه ناهنجاری یا یافتهای را بهطور دقیق توصیف کرده و با آن ارتباط برقرار کند و از ارتباط واضح و مختصر بین هر دو متخصص اطمینان حاصل کند.
این درک به ویژه زمانی بسیار مهم می شود که متخصص قلب به دنبال تعیین محل دقیق یک مشکل باشد یا زمانی که پزشک در حال خدمت مشکلی را در یک منطقه خاص شناسایی می کند و سونوگرافیست را وادار می کند تا قسمت مربوطه را به طور دقیق نمایش دهد، مانند دیواره میانی تحتانی. بنابراین، داشتن درک جامع از بخش های قلب AHA مجموعه مهارت های ضروری است.
این برنامه دانش شما را با استفاده از تصاویر پژواک واقعی آزمایش میکند، که اغلب آنها را بهترین روش تدریس میدانم.
جدیدترین 2.0.0 چه خبر است
اطلاعات ECHO HEART WALL SEGMENTS QUIZ APK
نسخههای قدیمی ECHO HEART WALL SEGMENTS QUIZ
ECHO HEART WALL SEGMENTS QUIZ 2.0.0
دانلود فوق سریع و ایمن از طریق برنامه APKPure
برای نصب فایل های XAPK/APK در اندروید با یک کلیک!






