ECHO HEART WALL SEGMENTS QUIZ
19.3 MB
Bestandsgrootte
Everyone
Android 5.0+
Android OS
Over ECHO HEART WALL SEGMENTS QUIZ
Quiz-gebaseerde visuele benadering voor het leren van de AHA-hartsegmenten: echocardiografie
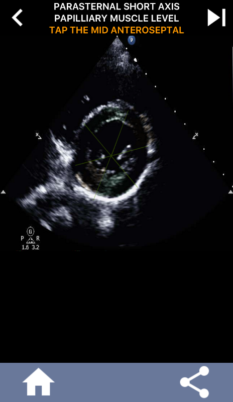
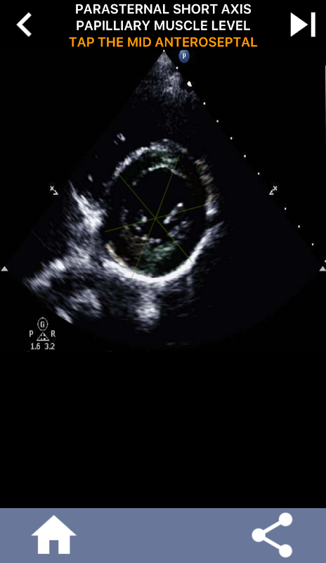
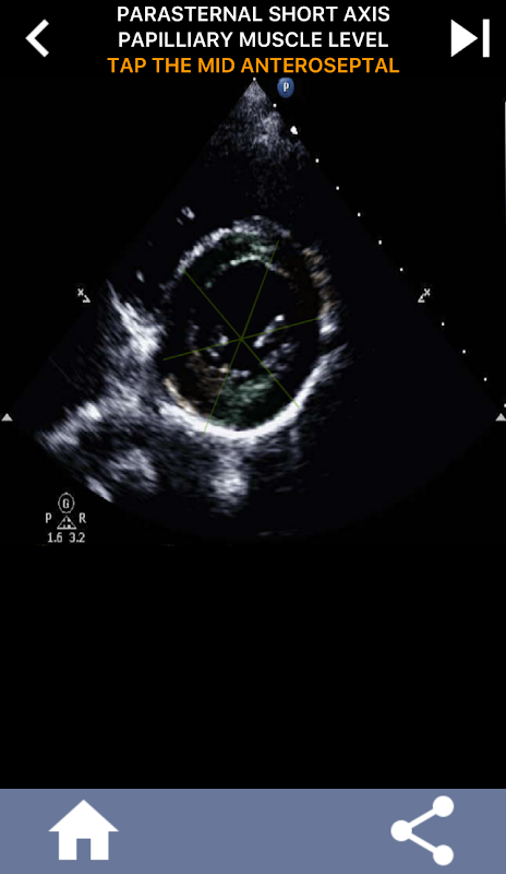
Het begrijpen van de hartsegmenten van de AHA (American Heart Association) is van het grootste belang voor een cardiale sonograaf om effectief te communiceren met de cardioloog die het rapport schrijft. Door de specifieke anatomische regio's en hun overeenkomstige segmenten te kennen, kan de echoscopist eventuele afwijkingen of bevindingen nauwkeurig beschrijven en communiceren, waardoor een duidelijke en beknopte communicatie tussen beide professionals wordt gegarandeerd.
Dit begrip wordt met name cruciaal wanneer de cardioloog de precieze locatie van een probleem probeert vast te stellen of wanneer de dienstdoende arts een probleem binnen een specifieke regio identificeert, waardoor de echoscopist wordt gevraagd om het overeenkomstige segment nauwkeurig weer te geven, zoals de middelste onderwand. Het hebben van een volledig begrip van de AHA-hartsegmenten is dus een essentiële vaardigheden.
Deze app test je kennis met behulp van echte echobeelden, wat ik vaak de beste lesmethode vind.
What's new in the latest 2.0.0
ECHO HEART WALL SEGMENTS QUIZ APK -informatie
Oude versies van ECHO HEART WALL SEGMENTS QUIZ
ECHO HEART WALL SEGMENTS QUIZ 2.0.0
Supersnel en veilig downloaden via de APKPure-app
Eén klik om XAPK/APK-bestanden op Android te installeren!






