AO/OTA Fracture Classification
50.3 MB
Tamanho do arquivo
Everyone
Android 5.0+
Android OS
Sobre este AO/OTA Fracture Classification
Ferramenta para a classificação de fraturas
Ferramenta para a classificação de fraturas
2018 AO / OTA fratura e luxação classificação é uma ferramenta ágil, concisa e clinicamente relevante para a codificação de fraturas e luxações.
É a classificação padrão utilizado por cirurgiões de trauma e médicos que lidam com trauma esquelético em todo o mundo. A classificação foi revisto em 2018 e o novo aplicativo foi atualizado para refletir essas mudanças.
O aplicativo fornece novatos e especialistas com uma ferramenta de referência para:
• Aprenda a aplicar o sistema de classificação
• Utilize terminologia comum ao classificar fraturas
• Aplicar os princípios da classificação da fratura
• Fornecer códigos padrão para fins de investigação
O conteúdo e design do aplicativo torna a classificação mais simples de usar. O aplicativo classificação AO / OTA faz descrições de lesões mais confiável, melhorando assim a avaliação de pesquisa e resultados de fratura.
Características:
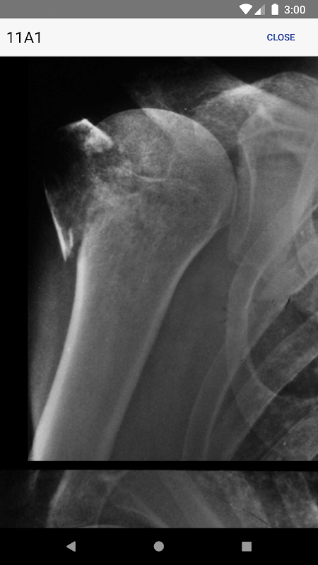
• Informações sobre exames radiológicos utilizados para a classificação de uma fratura específica
• Armadilhas comuns com imagens são abordados
• Todas as novas ilustrações de fratura
• de alta qualidade, raios-x alargáveis estão incluídas
• Códigos de fratura pode ser adicionado ao "Favoritos" para referência personalizado
• A nova função "Search" permite aos usuários acessar rapidamente qualquer código de fratura
• Princípios de classificação da fratura
Novidades em 1.4.1 mais recente
Informações sobre AO/OTA Fracture Classification APK
Versões Antigas de AO/OTA Fracture Classification
AO/OTA Fracture Classification 1.4.1
AO/OTA Fracture Classification 1.4
AO/OTA Fracture Classification 1.3.1
AO/OTA Fracture Classification 1.3
Baixar de Forma Rápida e Segura via APKPure App
Um clique para instalar arquivos XAPK/APK no Android!







