AORTIC STENOSIS PROTOCOL GUIDE
37.1 MB
फाइल का आकार
Everyone
Android 5.0+
Android OS
AORTIC STENOSIS PROTOCOL GUIDE के बारे में
एएसई और आईसीएईएल दिशानिर्देशों के अनुसार महाधमनी स्टेनोसिस प्रोटोकॉल सीखें, आसान चरण-दर-चरण
आइए एक प्रश्न से शुरू करें: आपको क्या लगता है कि एक इको अल्ट्रासाउंड टेक्नोलॉजिस्ट (कार्डियक सोनोग्राफर) की नौकरी के लिए साक्षात्कार के दौरान पूछे जाने वाला सबसे आम और शायद सबसे महत्वपूर्ण प्रश्न क्या है? मेरी राय में, यह होना चाहिए "क्या आप जानते हैं कि महाधमनी स्टेनोसिस की गणना कैसे करें"। तथ्य: ६५ वर्ष से अधिक आयु के २५% से अधिक रोगी किसी न किसी प्रकार के महाधमनी वाल्व रोग से पीड़ित हैं, जिसमें सबसे आम निदान महाधमनी वाल्व स्टेनोसिस है। * महाधमनी स्टेनोसिस प्राथमिक कारणों में से एक है जो टीटीई या इको परीक्षा का आदेश दिया जाता है।
मैं एक बड़े अस्पताल में काम करता हूं और हमारी प्रयोगशाला में एक पद के लिए कई संभावित इको जॉब आवेदकों के लिए स्कैनिंग टेस्ट डमी रहा हूं। लगभग सभी आवेदकों से साक्षात्कारकर्ता द्वारा एक ही प्रश्न पूछा गया था, "मुझे दिखाओ कि आप महाधमनी वाल्व क्षेत्र की गणना कैसे करते हैं।"
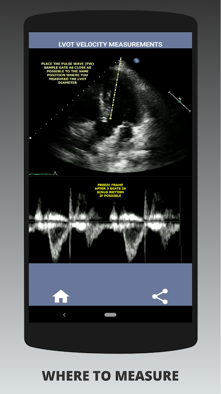
मेरी राय में, यदि एक साक्षात्कारकर्ता इस कौशल को दृढ़ता से प्रदर्शित कर सकता है तो उस व्यक्ति को अन्य आवेदकों पर एक बड़ा फायदा होता है जो इस क्षेत्र में कमजोर हैं (यह सिर्फ तार्किक है क्योंकि आमतौर पर बहुत सारे महाधमनी स्टेनोसिस के मामले होते हैं)। यदि आप कार्डियक सोनोग्राफर पद के लिए आवेदन कर रहे हैं, किसी ऐसे व्यक्ति को जिसे अपने कौशल को ताज़ा करने की आवश्यकता है, या एक इको छात्र है, तो इस ऐप को वर्तमान में अभ्यास करने वाले कार्डियक सोनोग्राफर द्वारा आपके लिए डिज़ाइन किया गया था। सरल और संक्षिप्त, कई दृष्टांत वीडियो के साथ सही बिंदु पर इंगित करता है कि वास्तव में कहां मापना है (जैसे एलवीओटी व्यास) और प्रकाशित एएसई/आईसीएईएल दिशानिर्देशों के अनुसार कैसे मापना है।
एओर्टिक स्टेनोसिस की गंभीरता का आकलन एक प्रमुख कौशल है जो एक कार्डियक सोनोग्राफर के पास होना चाहिए क्योंकि इसे अक्सर अस्पताल, क्लिनिक या निजी कार्यालय सेटिंग में नियोजित किया जाता है।
एपीपी अस्वीकरण
कोई सलाह नहीं
इस प्रकार, इस ऐप को चिकित्सा निदान के प्रयोजनों के लिए या चिकित्सा देखभाल या उपचार की सिफारिश के रूप में भरोसा नहीं किया जा सकता है। इस ऐप की जानकारी पेशेवर चिकित्सा सलाह, निदान या उपचार का विकल्प नहीं है। इस ऐप में निहित या उपलब्ध टेक्स्ट, ग्राफिक्स, छवियों और जानकारी सहित सभी सामग्री केवल सामान्य सूचना उद्देश्यों के लिए है
कोई रिलायंस नहीं
आपको किसी भी निदान या चिकित्सा उपचार के लिए सिफारिश के लिए इस ऐप का उपयोग करके प्राप्त किसी भी जानकारी पर भरोसा नहीं करना चाहिए। आपको अपने चिकित्सक या अन्य पेशेवर स्वास्थ्य प्रदाता से चिकित्सा सलाह के विकल्प के रूप में इस ऐप से प्राप्त जानकारी पर कभी भी भरोसा नहीं करना चाहिए।
आपको इस ऐप के माध्यम से देखी गई या एक्सेस की गई किसी भी जानकारी के परिणामस्वरूप पेशेवर चिकित्सा सलाह या चिकित्सा उपचार की मांग करने में देरी नहीं करनी चाहिए। यदि आपके पास किसी भी चिकित्सा मामले के बारे में कोई विशिष्ट प्रश्न हैं, तो आपको अपने चिकित्सक या अन्य पेशेवर स्वास्थ्य प्रदाता से परामर्श करना चाहिए। यदि आपको लगता है कि आप किसी भी चिकित्सा स्थिति से पीड़ित हो सकते हैं तो आपको तत्काल चिकित्सा ध्यान देना चाहिए।
कोई वारंटी नहीं
इस ऐप द्वारा प्रदान की गई जानकारी बिना किसी प्रतिनिधित्व या वारंटी, व्यक्त या निहित के "जैसी है" प्रदान की जाती है। इक्लेक्टिक गुड्स इंक इस ऐप में चिकित्सा या अन्य जानकारी के संबंध में कोई प्रतिनिधित्व या वारंटी नहीं देता है।
इक्लेक्टिक गुड्स इंक इस बात की गारंटी नहीं देता है कि:
- इस ऐप द्वारा प्रदान की गई जानकारी लगातार उपलब्ध होगी, या बिल्कुल उपलब्ध होगी;
या
- इस ऐप द्वारा प्रदान की गई जानकारी पूर्ण, सत्य, सटीक, अप-टू-डेट या गैर-भ्रामक है।
इक्लेक्टिक गुड्स इंक किसी भी सलाह, उपचार के पाठ्यक्रम, निदान, या किसी अन्य जानकारी, सेवाओं, या उत्पादों के लिए जिम्मेदार या उत्तरदायी नहीं है जो आपको इस ऐप के उपयोग के माध्यम से प्राप्त होते हैं।
ऐप का उपयोग करके ऐप डाउनलोड करके आपने स्वीकार किया है कि:
- आपने इस चिकित्सा अस्वीकरण को समझ लिया है।
- आप इस चिकित्सा अस्वीकरण से सहमत हैं।
- आप इस चिकित्सा अस्वीकरण द्वारा कानूनी रूप से बाध्य होने के लिए सहमत हैं, जो ऐप डाउनलोड करने पर तुरंत प्रभावी होगा।
यदि आप इस चिकित्सा अस्वीकरण द्वारा कानूनी रूप से बाध्य होने के लिए सहमत नहीं हैं, तो आप ऐप को एक्सेस नहीं कर सकते हैं, अपने नाम के तहत ऐप को पंजीकृत नहीं कर सकते हैं, या ऐप का उपयोग नहीं कर सकते हैं।
What's new in the latest 2.0.0
AORTIC STENOSIS PROTOCOL GUIDE APK जानकारी
AORTIC STENOSIS PROTOCOL GUIDE के पुराने संस्करण
AORTIC STENOSIS PROTOCOL GUIDE 2.0.0
APKPure ऐप के माध्यम से सुपर तेज़ और सुरक्षित डाउनलोडिंग
एंड्रॉइड पर XAPK/APK फ़ाइलें इंस्टॉल करने के लिए एक-क्लिक करें!






