Informazioni su Basic Radiology
Domande a scelta multipla di radiologia per studenti di medicina
Radiologia di base per studenti di medicina è un'app educativa progettata per migliorare le tue conoscenze di radiologia attraverso domande a scelta multipla (MCQ) attentamente curate con immagini, video e animazioni di alta qualità.
Esercitati con una selezione di MCQ dettagliati di radiologia per ampliare le tue conoscenze. Ogni domanda presentata in modo casuale è accompagnata da spiegazioni esaustive per approfondire la tua comprensione. L'accesso a una selezione di domande è disponibile gratuitamente. Passa a Premium per avere accesso illimitato alla nostra banca dati completa di domande e massimizzare il tuo potenziale di apprendimento.
Caratteristiche principali:
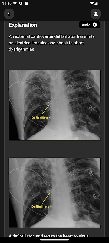
Immagini radiologiche, video e animazioni di alta qualità
Spiegazioni dettagliate per ogni domanda
Domande randomizzate per un apprendimento completo
Nota: questa applicazione richiede una connessione Internet e la registrazione dell'utente. Tutte le immagini sono originali ed etichettate professionalmente.
Sviluppato da MCQS.com, fornitori affidabili di materiali di preparazione per gli esami di radiologia FRCR Parte 1 e Parte 2.
Per domande o correzioni, contattare [email protected]
What's new in the latest 2.2.0
Adds interactions to questions.
Informazioni sull'APK Basic Radiology
Vecchie versioni di Basic Radiology
Basic Radiology 2.2.0
Basic Radiology 2.1.0
Basic Radiology 1.4.5
Basic Radiology 1.4.2
Download super veloce e sicuro tramite l'app APKPure
Basta un clic per installare i file XAPK/APK su Android!






