Normal Findings in CT and MRI Brain
4.4 MB
Saiz Fail
Everyone
Android 4.0+
Android OS
Mengenai Normal Findings in CT and MRI Brain
Diagnostic radiology about Normal Findings in CT Brain and Brain MRI
RADIOLOGY DIAGNOSTIC
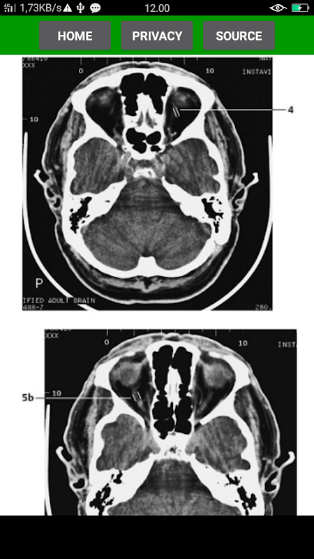
The key for any beginning radiologist who wishes to recognize pathological findings is to first acquire an ability to distinguish them from normal ones. This outstanding guide gives beginning radiologists the tools they need to systematically approach and recognize normal MR and CT images.
Highlights include:
* Reference-quality images from the author's own teaching files show all standard normal findings as seen in CT and MRI
*Checklists in each section offer the reader a systematic way to approach the images
*Thorough guidelines to help beginning radiologists dictate their reports
*Lists of standard measurements and tips for ruling out pathology
What's new in the latest 1.0
Maklumat APK Normal Findings in CT and MRI Brain
Versi lama Normal Findings in CT and MRI Brain
Normal Findings in CT and MRI Brain 1.0
Muat Turun Super Pantas dan Selamat melalui Apl APKPure
Satu klik untuk memasang fail XAPK/APK pada Android!







