Easy Retinopathy Atlas के बारे में
आपकी जेब में रेटिनोपैथियों का एक ऑफ़लाइन रंग एटलस
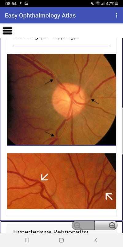
In brief, this application designed to have a quick review of Retinopathies. It covers the most common Retinopathies of eyes and systemic diseases in your daily practice. It is recommended app for all ER doctors, general practitioners, Medical Students and who is interested.
Since this application is educational, we tried our best to keep as simple as possible with simple interface to make a very user-friendly app, as it is our goal.
We wish you enjoy it and find it useful.
D. M. Jahanzad (Max)
Godfather Team
What's new in the latest 1.0
Last updated on 2020-10-15
An Offline Color Retinopathy atlas in your Pocket
Easy Retinopathy Atlas APK जानकारी
APKPure पर सुरक्षित और तेज़ APK डाउनलोड करें
आपके लिए वायरस मुक्त Easy Retinopathy Atlas APK डाउनलोड करने के लिए APKPure प्रमाणित करने का उपयोग करता है।
Easy Retinopathy Atlas के पुराने संस्करण
Easy Retinopathy Atlas 1.0
10.0 MBOct 15, 2020

APKPure ऐप के माध्यम से सुपर तेज़ और सुरक्षित डाउनलोडिंग
एंड्रॉइड पर XAPK/APK फ़ाइलें इंस्टॉल करने के लिए एक-क्लिक करें!