Giới thiệu về Easy Retinopathy Atlas
Một tập bản đồ màu ngoại tuyến của Retinopathies trong túi của bạn
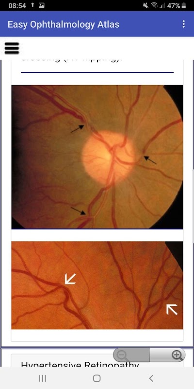
In brief, this application designed to have a quick review of Retinopathies. It covers the most common Retinopathies of eyes and systemic diseases in your daily practice. It is recommended app for all ER doctors, general practitioners, Medical Students and who is interested.
Since this application is educational, we tried our best to keep as simple as possible with simple interface to make a very user-friendly app, as it is our goal.
We wish you enjoy it and find it useful.
D. M. Jahanzad (Max)
Godfather Team
What's new in the latest 1.0
Last updated on 2020-10-15
An Offline Color Retinopathy atlas in your Pocket
Thông tin APK Easy Retinopathy Atlas
Phiên bản mới nhất
1.0
Danh mục
Y tếAndroid OS
Android 4.0+
Dung lượng tệp
10.0 MB
Nhà phát triển
Godfather TeamTải APK an toàn và nhanh chóng trên APKPure
APKPure sử dụng xác minh chữ ký để đảm bảo tải APK miễn phí virus cho Easy Retinopathy Atlas.
Phiên bản cũ của Easy Retinopathy Atlas
Easy Retinopathy Atlas 1.0
10.0 MBOct 15, 2020

Tải xuống siêu nhanh và an toàn thông qua Ứng dụng APKPure
Một cú nhấp chuột để cài đặt các tệp XAPK/APK trên Android!