Over Aidoc
Op AI gebaseerde communicatieoplossing voor optimalisatie van de workflow in acute situaties
Aidoc - de toonaangevende leverancier van AI-oplossingen voor bedrijfsbeeldvorming, biedt de meest uitgebreide oplossingen om acute aandoeningen direct in de medische beeldvormingsworkflow aan te pakken. Aidoc heeft 9 FDA-goedkeuringen voor het signaleren en prioriteren van acute afwijkingen.
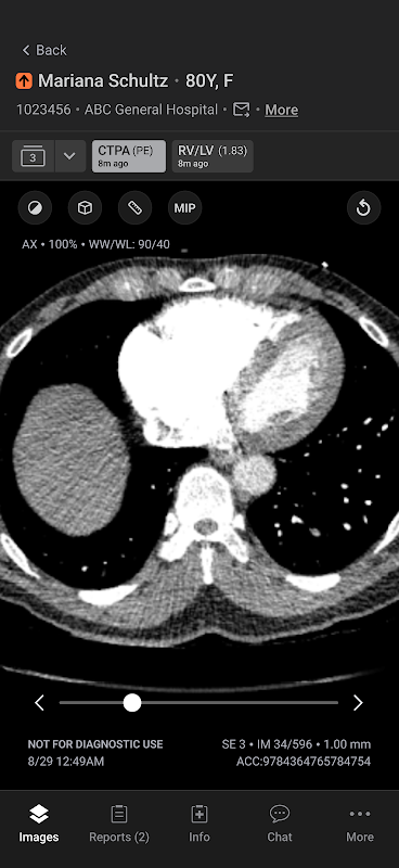
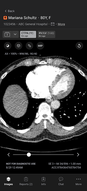
De mobiele communicatietoepassing Aidoc stroomlijnt de communicatie om tijdgevoelige besluitvorming te versnellen en de kwaliteit van de zorg te verbeteren. De applicatie biedt op AI gebaseerde prioritering en melding van een breed scala aan acute pathologieën, waaronder occlusies van grote bloedvaten en longembolie.
Aidoc's Always-on AI haalt en analyseert automatisch elk relevant onderzoek om vermoedelijke bevindingen te identificeren. Zodra een onderzoek is gemarkeerd, markeert Aidoc de vermoedelijke bevindingen rechtstreeks in de workflow voor medische beeldvorming. Het proces maakt gebruik van de bestaande infrastructuur en werkt naadloos op de achtergrond, waarbij meer dan duizenden examens per dag worden verwerkt. Aidoc helpt bij het verkorten van de tijd van scan tot diagnose, het versnellen van de efficiëntie, de tijd tot de behandeling en het verbeteren van de kwaliteit van de zorg.
What's new in the latest 2.8.1
Aidoc APK -informatie
Oude versies van Aidoc
Aidoc 2.8.1
Aidoc 2.6.11
Aidoc 2.5.8
Aidoc 2.4.16
Supersnel en veilig downloaden via de APKPure-app
Eén klik om XAPK/APK-bestanden op Android te installeren!







