Oписание Aidoc
Коммуникационное решение на основе искусственного интеллекта для оптимизации рабочего процесса в тяжелых условиях
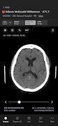
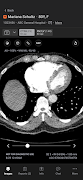
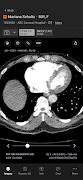
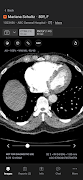
Aidoc — ведущий поставщик решений искусственного интеллекта для корпоративной визуализации, предлагает наиболее комплексные решения для лечения острых состояний непосредственно в рабочем процессе медицинской визуализации. Aidoc имеет 9 разрешений FDA для пометки острых отклонений и определения их приоритетности.
Мобильное коммуникационное приложение Aidoc оптимизирует общение, чтобы ускорить принятие срочных решений и повысить качество обслуживания. Приложение обеспечивает приоритизацию на основе ИИ и уведомление о широком спектре острых патологий, включая окклюзию крупных сосудов и легочную эмболию.
Постоянно включенный ИИ Aidoc автоматически получает и анализирует каждое соответствующее исследование, чтобы выявить подозрительные результаты. После того как исследование отмечено, Aidoc выделяет подозрительные результаты непосредственно в рабочем процессе медицинской визуализации. Этот процесс использует существующую инфраструктуру и беспрепятственно работает в фоновом режиме, обрабатывая более тысячи экзаменов в день. Aidoc помогает сократить время от сканирования до постановки диагноза, повышая эффективность, время до лечения и улучшая качество лечения.
Что нового в последней версии 2.8.1
Информация Aidoc APK
Старые Версии Aidoc
Aidoc 2.8.1
Aidoc 2.6.11
Aidoc 2.5.8
Aidoc 2.4.16
Супер Быстрая и Безопасная Загрузка через Приложение APKPure
Один клик для установки XAPK/APK файлов на Android!







