Oписание Radiology CT Viewer
Динамический и интерактивный способ просмотра поперечного сечения анатомии человека на КТ
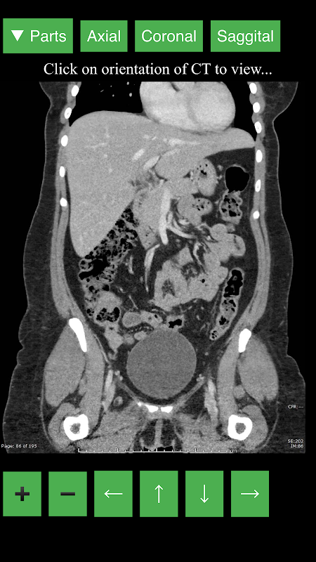
CT просмотра обеспечивает динамичный и интерактивный способ просмотра поперечного сечения анатомии человека на компьютерной томографии (КТ). Информация, содержащаяся в этом приложении не может быть гарантирована для полноты и точности.
- КТ Руководитель
- КТ шеи
- КТ грудной клетки
- КТ брюшной полости и органов малого таза
Если обнаружены ошибки, пожалуйста, свяжитесь со мной через мою электронную почту. Контакты [email protected]~~dobj с любыми вопросами, комментариями, или советы по улучшению приложения.
Будущие события:
- Другие условия и анатомических частей
- Анатомическая локализация
Отказ от ответственности: Информация, содержащаяся в этом приложении предоставляется как только образовательный ресурс, и не будет использоваться или полагаться на любых диагностических или лечебных целях. Эта информация не предназначена, чтобы быть обучение пациентов и не должны использоваться в качестве замены для профессиональной диагностики и лечения. MDToolkit явно отказывается от ответственности, и не несет никакой ответственности за любой ущерб, потери, травмы или ответственности вообще, понесенные в результате вашего опоры на информации, содержащейся в этом приложении. Используя это приложение, вы соглашаетесь с вышеуказанными условиями и условиями, которые могут время от времени быть изменены или дополнены.
Что нового в последней версии 2
Информация Radiology CT Viewer APK
Старые Версии Radiology CT Viewer
Radiology CT Viewer 2
Radiology CT Viewer 1.1

Супер Быстрая и Безопасная Загрузка через Приложение APKPure
Один клик для установки XAPK/APK файлов на Android!