關於断面図ウォーカー女性骨盤CT無料版
CT,MRI解剖軟判決版本,一個橫截面圖沃克的免費版本,是女性盆腔CT版的出現。 付費版(腦MRI,胸部CT,腹部CT)請為操作檢查使用。
故障最終版的解剖軟件,CT MRI·剖視圖的免費版本沃克,女子盆腔CT版出現。
如果你想少檢查故障解剖,當你仔細想學,你不說我認為這很難用現有的書籍和應用程序?
剖面圖在手和如果放在Android的終端在臨床實踐中,如醫院Muntera,國家醫學考試,你可以幫助你的任何時間隨時診斷成像沃克。
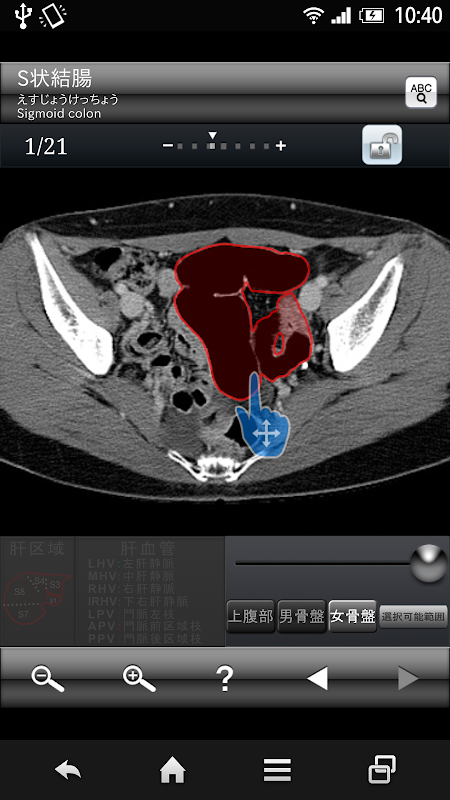
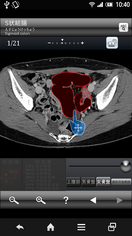
- 要檢查的位置顯示解剖名稱通過與手指光標的方式。
- 這是可以從解剖名稱搜索(日本和歐洲)。
內容
拍攝現場:女性骨盆
片的數目:21
解剖名稱編號:53
腹部CT的操作屏幕(IOS付費版)(YouTube)的
http://youtu.be/LwsV0DlSjhI
產品版本是在這裡
剖面圖沃克腹部CT
https://play.google.com/store/apps/details?id=air.abd105 < / A>
剖面圖沃克胸部CT
https://play.google.com/store/apps/details?id=air.chest105 < / A>
剖面圖沃克頭顱MRI
https://play.google.com/store/apps/details?id=air.brainmri108 < / A>
最新版本1002002的更新日誌
Last updated on 2021年09月29日
64bitOSに対応しました。
断面図ウォーカー女性骨盤CT無料版 APK信息
在APKPure安全快速地下載APK
APKPure 使用簽章驗證功能,確保為您提供無病毒的 断面図ウォーカー女性骨盤CT無料版 APK 下載。
断面図ウォーカー女性骨盤CT無料版歷史版本
断面図ウォーカー女性骨盤CT無料版 1002002
10.1 MB2021年09月29日
断面図ウォーカー女性骨盤CT無料版 1.1
15.3 MB2016年10月14日







