عن 断面図ウォーカー女性骨盤CT無料版
CT、MRI解剖ソフトの決定版、断面図ウォーカーの無料版、女性骨盤部CT編が登場です。 有料版(脳MRI、胸部CT、腹部CT)の動作確認としてもご利用下さい。
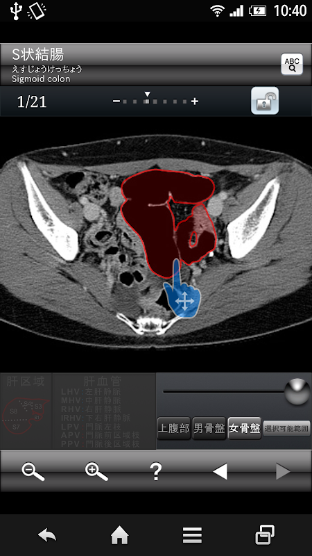
断層解剖ソフトの決定版、CT・MRI断面図ウォーカーの無料版、女性骨盤部CT編が登場です。
断層解剖をちょっと調べたいと思った時、じっくり学習したい時、既存の書籍やアプリでは使いにくいと思ったことはありませんか?
断面図ウォーカーをお手持ちのAndroid端末に入れておけば病院など臨床現場での画像診断やムンテラ、医師国家試験対策、どんな時でもお役に立ちます。
・調べたい場所を指カーソルで示せば解剖名が表示されます。
・解剖名から検索(和文・欧文)することが可能です。
収録内容
撮影部位:女性骨盤
スライス数:21
解剖名数:53
腹部CT(iOS有料版)の動作画面(YouTube)
http://youtu.be/LwsV0DlSjhI
製品版はこちら
断面図ウォーカー 腹部CT
https://play.google.com/store/apps/details?id=air.abd105
断面図ウォーカー 胸部CT
https://play.google.com/store/apps/details?id=air.chest105
断面図ウォーカー 頭部MRI
https://play.google.com/store/apps/details?id=air.brainmri108
What's new in the latest 1002002
Last updated on 2021-09-29
64bitOSに対応しました。
معلومات 断面図ウォーカー女性骨盤CT無料版 APK
احدث اصدار
1002002
الفئة
طبيAndroid OS
Android 5.0+
حجم الملف
10.1 MB
المطور
radioACTIVE inc.تقييم المحتوى
Everyone
تنزيلات APK آمنة وسريعة على موقع APKPure
يستخدم APKPure التحقق من التوقيع لضمان تقديم تنزيلات خالية من الفيروسات لـ 断面図ウォーカー女性骨盤CT無料版 APK لك.
الإصدارات القديمة لـ 断面図ウォーカー女性骨盤CT無料版
断面図ウォーカー女性骨盤CT無料版 1002002
10.1 MB29/09/2021
断面図ウォーカー女性骨盤CT無料版 1.1
15.3 MB14/10/2016

قم بتنزيل سريع وآمن بالغاية عبر تطبيق APKPure
قم بتثبيت ملفات XAPK/APK بنقرة واحدة على أندرويد!