關於eUnity
環球查看和協作平台
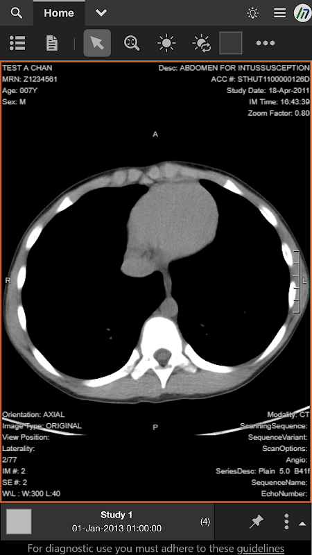
簡單,直觀,安全-eUnity使醫療保健專業人員可以訪問,操縱和協作處理高質量的醫學圖像。查看所有圖像模式,包括X射線,CT,MRI,彩色超聲和X射線血管造影。充分利用eUnity的全面服務,諮詢,推薦和參考來增強您的工作流程。連接到eUnity Server,並將您的醫學圖像的覆蓋範圍擴展到護理點-無論它在哪裡。
特徵
•支持所有主要方式。
•支持DICOM灰度軟拷貝表示狀態(GSPS)和彩色軟拷貝表示狀態(CSPS)對象。
•手機和平板電腦支持。
•在研究旁邊查看報告。
•圖像保留在圖像存檔,PACS或VNA中。
•沒有圖像存儲在設備上。
•與跨多個設備和平台的同事實時協作。
•出色的性能。
•從內置搜索中查詢您的學習。
安全性和HIPAA合規性:
•eUnity要求用戶在使用前登錄。
•一段時間不活動後,用戶將退出會話。
•所有數據傳輸均通過SSL加密和保護。
•關閉檢查後,設備上不會保留受保護的健康信息(PHI)。
需要
eUnity服務器的已配置實例。
最新版本2025.1.57的更新日誌
Last updated on 2025年09月18日
• Updated the Android SDK to version 35
• Resolved an issue where studies were not loading in the viewer on iOS mobile devices.
• Resolved an issue where users could not log in to the mobile application when the eUnity server was configured to use SAML for authentication.
• Resolved an issue where studies were not loading in the viewer on iOS mobile devices.
• Resolved an issue where users could not log in to the mobile application when the eUnity server was configured to use SAML for authentication.
eUnity APK信息
在APKPure安全快速地下載APK
APKPure 使用簽章驗證功能,確保為您提供無病毒的 eUnity APK 下載。
eUnity歷史版本
eUnity 2025.1.57
6.6 MB2025年09月18日
eUnity 2023.1.34
2.9 MB2023年09月09日
eUnity 2020.2.10
1017.1 KB2020年04月21日
eUnity 6.6.2
13.8 MB2019年02月21日






