دربارهی eUnity
مشاهده جهانی و همکاری بستر های نرم افزاری
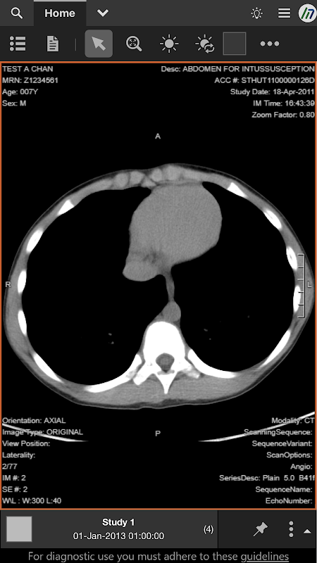
ساده ، شهودی ، ایمنی - الکترونیکی ، متخصصان مراقبت های بهداشتی را قادر می سازد تا بر روی تصاویر پزشکی با کیفیت کامل ، دسترسی ، همکاری و همکاری داشته باشند. مشاهده تمام روش های تصویر ، از جمله اشعه X ، CT ، MRI ، سونوگرافی رنگی و آنژیوگرافی اشعه ایکس. با اعمال فشار الکترونیکی در دورهای بزرگ ، مشاوره ، مراجعه و مرجع ، گردش کار خود را بهبود بخشید. به سرور eUnity متصل شوید و دسترسی به تصاویر پزشکی خود را تا جایی که ممکن است باشد - گسترش دهید.
امکانات
• پشتیبانی از کلیه روشهای اصلی.
• پشتیبانی از اشیاء حالت ارائه نرم افزارهای نرم افزاری DICOM Greyscale Greyscale (GSPS) و حالت نرم افزاری رنگی (CSPS).
• پشتیبانی از تلفن و تبلت.
• گزارش ها را در کنار مطالعه خود مشاهده کنید.
• تصاویر در بایگانی تصویر ، PACS یا VNA شما باقی می مانند.
• هیچ تصویری در دستگاه ذخیره نمی شود.
• با همکاران در زمان واقعی با دستگاه ها و سیستم عامل های مختلف همکاری کنید.
• عملکرد برجسته و بدون سازش.
• جستجوی مطالعات خود را از جستجوی داخلی جستجو کنید.
امنیت و انطباق HIPAA:
• eUnity به کاربران نیاز دارد تا قبل از استفاده ، وارد سیستم شوند.
• پس از یک دوره عدم فعالیت ، کاربران از جلسه خود خارج می شوند.
• کلیه انتقال داده ها از طریق SSL رمزگذاری و امن می شوند.
• در صورت بسته شدن مطالعه ، هیچ اطلاعات سلامت محافظت نشده (PHI) روی دستگاه باقی نمی ماند.
نیاز دارد
یک نمونه از سرور eUnity پیکربندی شده است.
جدیدترین 2025.1.57 چه خبر است
• Resolved an issue where studies were not loading in the viewer on iOS mobile devices.
• Resolved an issue where users could not log in to the mobile application when the eUnity server was configured to use SAML for authentication.
اطلاعات eUnity APK
نسخههای قدیمی eUnity
eUnity 2025.1.57
eUnity 2023.1.34
eUnity 2020.2.10
eUnity 6.6.2
دانلود فوق سریع و ایمن از طریق برنامه APKPure
برای نصب فایل های XAPK/APK در اندروید با یک کلیک!






