À propos de ColorMatch
Mesurer et comparer les couleurs d'une image
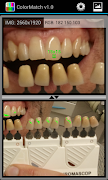
Avec ColorMatch peut analyser la couleur d'une zone d'une image et de déterminer ses composantes selon l'espace de couleur choisie (RVB, Lab, CMJN, HSV, HSL). L'application permet également de mettre en évidence tous les pixels d'image ayant la couleur similaire à celle sélectionnée (qui est, avec la couleur de distance inférieure à un seuil prédéterminé), rendant ainsi possible une identification rapide des zones de couleur uniforme.
ColorMatch permet des mesures de couleur à la fois absolue et relative; dans ce dernier cas, vous pouvez obtenir des résultats très fiables, indépendants de l'éclairage sur le sujet et les réglages de l'appareil.
Cette analyse est facilitée par les doubles fenêtres avec panoramique et de zoom. La configuration de l'affichage et le texte des commentaires peuvent être enregistrées avec l'image et envoyés par e-mail afin que vous pouvez jouer la même analyse de la session de tout autre appareil sur lequel il est installé ColorMatch.
L'application fournit une excellente aide chaque fois qu'il ya nécessité de la comparaison des couleurs, par exemple dans le choix de nuances de couleur pour la reconstruction esthétique d'une dent ou à la sélection d'un colorant ou une peinture particulière.
Faits saillants:
- Mesure de la couleur (RVB, CMJN, Lab, HSV, HSL)
- Comparaison entre les zones de couleur de l'image
- Soulignant pixels avec couleur semblable à celle prévue
- Viseur couleur de sélection avec redimensionnable
- Sauvegarde des données et les images ou les envoyer par e-mail
- Archive Manager avec annotations de soutien
- Fenêtre d'affichage double
- Fonctions de panoramique et de zoom sur les deux fenêtres
- La discrimination Seuil de couleur réglable (deltaE CIELAB)
- Option correction gamma
- Manuel inclus
- Gratuit d'annonces
What's new in the latest 1.1
- Some minor bugs fixed
Informations ColorMatch APK
Vieilles versions de ColorMatch
ColorMatch 1.1
ColorMatch 1.0
Téléchargement super rapide et sûr via l'application APKPure
Un clic pour installer les fichiers XAPK/APK sur Android!




