O ColorMatch
Zmierzyć i porównać kolory obrazu
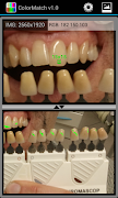
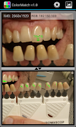
Z ColorMatch może analizować kolor dowolnego obszaru obrazu i określić jego elementów w zależności od wybranej przestrzeni barw (RGB, Lab, CMYK, HSV, HSL). Aplikacja pozwala również zaznaczyć wszystkie piksele obrazu o kolorze zbliżonym do jednego wybranego (czyli w kolorze odległości mniejszej niż określonego progu), dzięki czemu możliwe jest szybkie zidentyfikowanie obszarów w jednolitym kolorze.
ColorMatch umożliwia pomiar barwy zarówno absolutnego i; w tym ostatnim przypadku, można uzyskać wyniki bardzo wiarygodne, niezależne od oświetlenia na obiekcie i ustawień aparatu.
Analiza ta jest ułatwione przez podwójne okna z patelni i zoom. Konfiguracja wyświetlania i tekst komentarza mogą być zapisywane z obrazem i wysyłane za pośrednictwem poczty e-mail, dzięki czemu można grać w tę samą analizę sesji z dowolnego innego urządzenia, na którym jest zainstalowany ColorMatch.
Aplikacja zapewnia doskonałą pomocy każdym razem, kiedy jest potrzeba porównywania kolorów, na przykład przy wyborze odcieniach estetycznych rekonstrukcji zęba lub w wyborze konkretnego barwnika lub farby.
Zalety:
- Pomiar koloru (RGB, CMYK, Lab, HSV, HSL)
- Porównanie między obszarami kolorów obrazu
- Podświetlanie pikseli kolorem podobne do tego zestawu
- Kolor Selector wizjer z resizable
- Zapisywanie danych i obrazów lub wysłać przez e-mail
- Archive Manager z adnotacjami wsparcia
- Podwójny wyświetlacz okno
- Funkcje, aby przesuwać i powiększać w obu oknach
- Próg regulowany kolor dyskryminacji (wartość delta CIELAB)
- Korekcja gamma opcji
- Instrukcja zawiera
- Darmowe ogłoszenia
What's new in the latest 1.1
- Some minor bugs fixed
Informacje ColorMatch APK
Stare wersje ColorMatch
ColorMatch 1.1
ColorMatch 1.0
Superszybkie i bezpieczne pobieranie za pośrednictwem aplikacji APKPure
Jedno kliknięcie, aby zainstalować pliki XAPK/APK na Androidzie!




