關於ColorMatch
測量和比較圖像的顏色
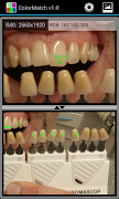
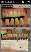
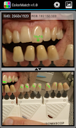
同的ColorMatch可以分析圖像的任何區域的顏色,並根據所選擇的色彩空間(RGB,實驗室,CMYK,HSV,HSL)確定其組件。該應用程序還允許以突出顯示具有類似的顏色,以選擇所述一個所有圖像像素(即,具有更小距離的顏色比預定閾值),因此使得有可能快速確定以均勻的顏色區域。
允許的ColorMatch色彩絕對和相對測量;在後一種情況下,你可以得到的結果非常可靠的,獨立於照明被攝對象和相機設置。
這種分析是由雙窗與平移和縮放促進。顯示配置和註釋文本可以保存圖像,並通過電子郵件發送,這樣可以起到在其上安裝的ColorMatch任何其他設備的相同的會話分析。
該應用程序提供了一個極好的援助每次有顏色的深淺的選擇進行比較的顏色,例如為了美觀重建牙齒或在一個特定的染料或塗料的選擇的必要性。
亮點:
- 顏色測量(RGB,CMYK,實驗室,HSV,HSL)
- 圖像的顏色區域的比較
- 突出顏色的像素相似集
- 選擇彩色取景器與可調整大小
- 保存的數據和圖像,或通過電子郵件發送
- 存檔管理與支持註解
- 雙顯示窗口
- 功能平移和縮放在兩個窗口
- 閾值可調顏色辨別(DeltaE值CIELAB)
- 選項伽馬校正
- 包括手動
- 免費廣告
最新版本1.1的更新日誌
Last updated on 2018年06月25日
Version 1.1
- Some minor bugs fixed
- Some minor bugs fixed
ColorMatch歷史版本
ColorMatch 1.1
405.3 KB2018年06月25日
ColorMatch 1.0
373.6 KB2016年02月07日




