About ImageInbox
Securely archive and control your diagnostic medical images and reports.
It's your legal right as a patient to get an electronic copy of your Radiology exams, including CT (CAT) scan, MRI, X-Ray, ultrasound or any other medical scan. They are your images after all.
Download ImageInbox and start taking control of your important health information today!
ImageInbox supports patients with an easy-to-use app for securely managing your medical images and diagnostic reports. No longer worry about keeping track of exam CD's for medical image sharing because you can save, transfer and view your medical images on your smartphone and tablet, and keep them all saved using your personal cloud storage.
How does it work?
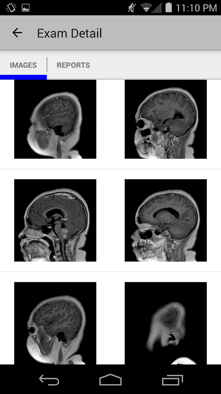
ImageInbox turns your personal cloud storage into your encrypted and secure health archive. Exchange images and reports with your doctor in seconds. See a summary view of your medical images and reports on your smartphone and add all your providers to your contacts for secure communication directly from your mobile device with the doctor of your choice.
Benefits?
Never be without your important medical image results again, or have to repeat unnecessary scans because your medical images weren't available. With ImageInbox, have 100% assurance that all of your medical imaging information is with you or anyone you choose, such as another family member or caregiver.
How private are my images and reports?
All data stored on your personal cloud storage is in encrypted format and is only accessible by you. All communication with ImageInbox is 100%-private using dual-encryption for transfer and data security. ImageInbox complies to federal and state healthcare and privacy protection laws (HIPAA).
Key Features:
- Eliminate unnecessary radiation when images aren't available
- Rapidly get a second opinion based on prior exams
- Send, store and view images directly in app
- Save money and headache from hassle of exam CDs
What's new in the latest 2.0.0
Old Versions of ImageInbox
Super Fast and Safe Downloading via APKPure App
One-click to install XAPK/APK files on Android!





