About OneCeph
Perform and learn Orthodontic Cephalometric Analysis
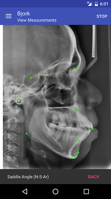
Perform Lateral Cephalometric Analyses with ease.
Available Analyses:
Beta
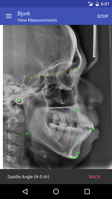
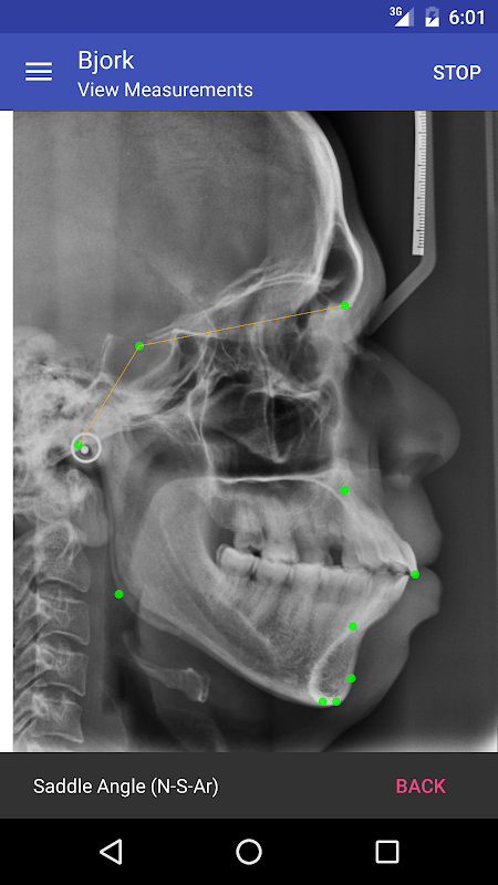
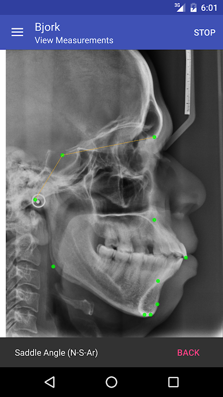
Bjork
COGS/Burstone
Cephalomorphic
Down
Holdaway
Jarabak
McNamara
Rickett
Steiner
Schwartz
Wits
Tweed
Yen
Interactively learn about landmarks and parameters - Explore them all visually.
Share measurements as PDF by email
Please note that this is still a beta release. There are still unimplemented features. Issues related to performance and accuracy are being fixed. Please use this at your own discretion.
What's new in the latest beta 15
Last updated on 2023-09-28
Fixed an issue with some devices not showing landmark help
OneCeph APK Information
Safe & Fast APK Downloads on APKPure
APKPure uses signature verification to ensure virus-free OneCeph APK downloads for you.
Old Versions of OneCeph
OneCeph beta 15
5.3 MBSep 27, 2023
OneCeph beta 12
5.3 MBJul 2, 2023
OneCeph beta 11
5.3 MBJun 17, 2023
OneCeph beta 10
5.4 MBJun 4, 2023
Super Fast and Safe Downloading via APKPure App
One-click to install XAPK/APK files on Android!







