Sobre este iRadTech ESP
Una Guia de Procedimientos Diagnósticos para los tecnólogos radiológicos
iRadTech ESP é um guia de procedimentos diagnósticos para tecnólogos radiológicos para telefones celulares e tablets.
A maioria dos pacientes não se da conta que aún los tecnólogos mais experimentados de vez em quando tienen que buscam referências para poder realizar alguns estudos. Com os cientos de procedimentos que espera um técnico realizar ao longo de sua vida profissional, é extremamente difícil recordar procedimentos que questionam apenas uma ou duas vezes em sua carreira. Além dos técnicos experimentados, os estudantes deste campo encontrarão em nosso iRadTech ESP um guia de estudos conveniente e confiável.
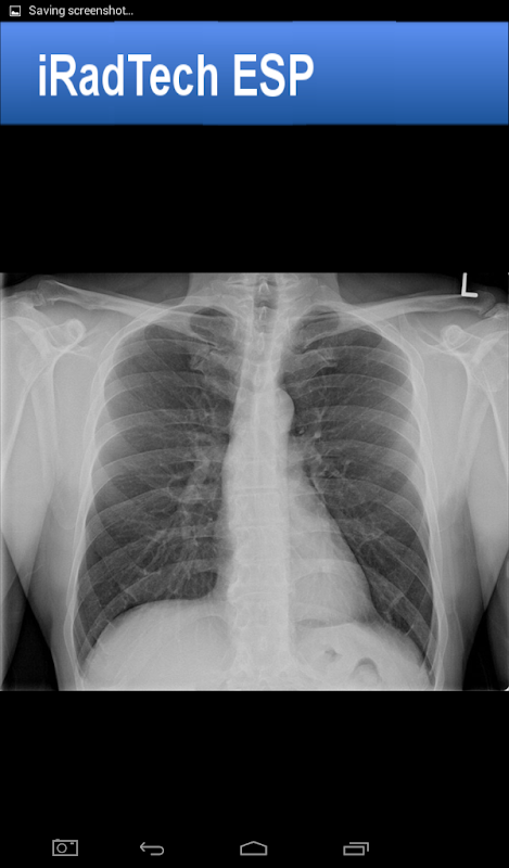
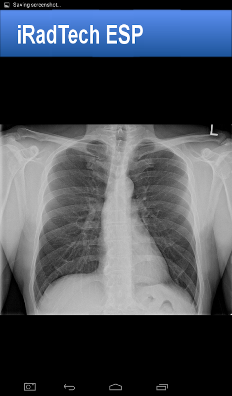
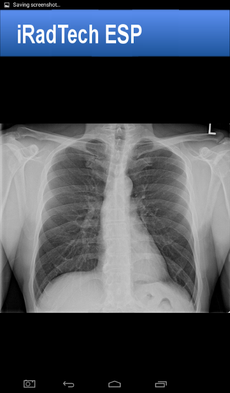
O objetivo do iRadTech ESP é colocar na mão do técnico informações sobre os procedimentos. O técnico obterá benefícios nas imagens das posições e nas radiografias resultantes. Com as informações detalhadas incluídas, o técnico poderá realizar o posicionamento do paciente e a imagem correta na primeira ocasião. A repetição das imagens é a primeira causa do aumento da dose para o paciente e pode ser limitada esta dose usando o iRadTech ESP.
iRadTech ESP inclui:
•190+ exames radiográficos
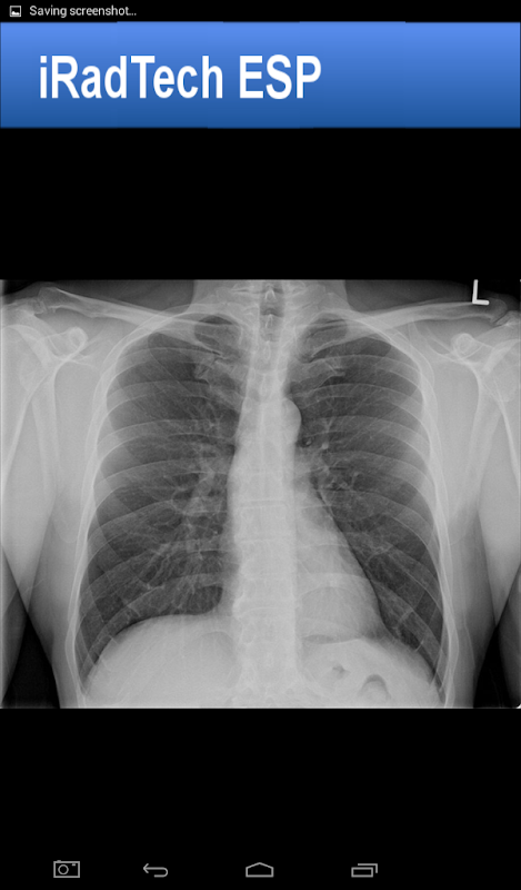
•Imagens expansíveis de cada posição
•Imagens radiográficas expansíveis para cada procedimento.
•Instrucciones detalladas de como posicionar al paciente.
•Detalhes para identificar na radiografia resultante.
Legendas:
•Posição do paciente
• Posição da estrutura anatômica
•Instruções de respiração
•Colocação do receptor de imagem
• Localização do raio central e angulação
•Detalhes de qualidade da radiografia
•Estruturas anatômicas visualizadas
Estados Unidos o visite nossa página web: iradtech.com.
Novidades em 2.1 mais recente
Informações sobre iRadTech ESP APK
Baixar de Forma Rápida e Segura via APKPure App
Um clique para instalar arquivos XAPK/APK no Android!







