iRadTech ESP 정보
우나 기아 드 procedimientos diagnósticos 파라 로스 tecnólogos의 radiológicos
iRadTech ESP es una guía de procedimientos diagnósticos para los tecnólogos radiológicos para teléfonos móviles y tabletas.
La mayoría de los pacientes no se da cuenta que aún los tecnólogos más Experimentados de vez en cuando tienen que buscar referencias para poder realizar algunos estudios. Con los cientos de procedimientos que se espera realice un tecnólogo a lo largo de su vida profesional, es sumamente difícil recordar procedimientos que 퀴즈 realice solamente una o dos veces en su carrera. Además de los tecnólogos experimentados, los estuudiantes de este campo encontraran en nuestro iRadTech ESP una guía de estudios confiable.
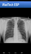
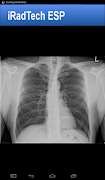
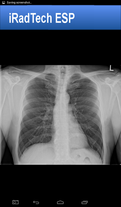
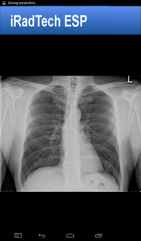
El propósito de iRadTech ESP es colocar a la mano del tecnólogo información de los procedimientos. El tecnólogo encontrará beneficio en las imágenes de las posiciones y las radiografías resultantes. Con la información detallada que se incluye, el tecnólogo podrá realizar el posicionamiento del paciente y la imagen correcta en la prima ocasión. 반복적인 영상은 iRadTech ESP를 활용하는 선량을 제한하는 선량 및 선량 제한 원인이 됩니다.
iRadTech ESP에는 다음이 포함됩니다.
•190+ 방사선 사진 검사
•Imágenes expandibles de cada position
•이미지는 절차에 따라 확장 가능한 라디오 그래픽입니다.
•Instrucciones detalladas de cómo posicionar al paciente.
• 방사선 사진 결과에 대한 식별 정보를 자세히 설명합니다.
자막:
•지속 가능한 위치
•Posición de la estructura anatómica
•호흡 지침
•Colocación del receptor de imagen
•Localización del rayo central y angulación
•Detalles de calidad de la radiografía
•Estructuras anatómicas visualizadas
웹사이트: iradtech.com에서 새로운 페이지를 방문하십시오.







