O iRadTech ESP
Una Guia de procedimientos diagnósticos para los tecnólogos radiológicos
iRadTech ESP es una guía de procedimientos diagnósticos para los tecnólogos radiológicos para teléfonos móviles y tabletas.
La mayoría de los pacientes no se da cuenta que aún los tecnólogos más Experimentados de vez en cuando tienen que buscar referencias para poder realizar algunos estudios. Con los cientos de procedimientos que se espera realice un tecnólogo a lo largo de su vida profesional, es sumamente difícil recordar procedimientos que quizás realice solamente una o dos veces en su carrera. Además de los tecnólogos Experimentados, los estuudiantes de este campo encontraran en nuestro iRadTech ESP una guía de estudios conveniencee y confiable.
El propósito de iRadTech ESP es colocar a la mano del tecnólogo información de los procedimientos. El tecnólogo encontrará beneficio en las imagegenes de las posiciones y las radiografías resultantes. Con la información detallada que se incluye, el tecnólogo podrá realizar el posicionamiento del paciente y la imagen correcta en la primera ocasión. La repetición de las imágenes es la primera causa del aumento en dosis al paciente y se puede limitar esta dosis utilizando iRadTech ESP.
iRadTech ESP zawiera:
• 190+ egzaminów radiograficznych
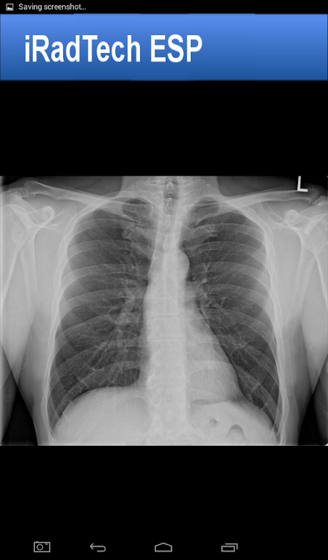
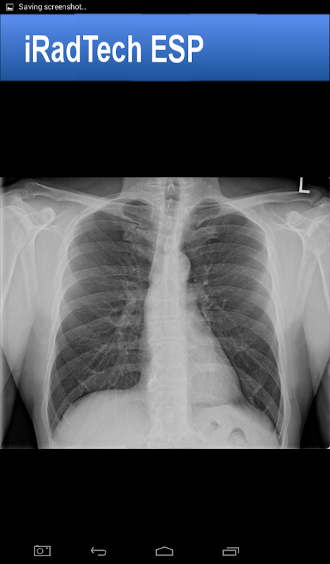
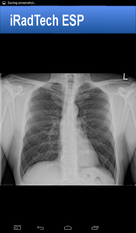
•Imágenes expandibles de cada posición
•Imágenes radiográficas expandibles para cada procedimiento.
•Instrucciones detalladas de como posicionar al paciente.
• Detalles identificar en la radiografía resultante.
napisy:
•Posición del paciente
•Posición de la estructura anatómica
•Instrucciones de respiración
• Colocación del receptor de imagen
•Localización del rayo central y angulación
•Detalles de calidad de la radiografía
• Estructuras anatómicas visualizadas
Estados Unidos lub odwiedź nową stronę internetową: iradtech.com.
What's new in the latest 2.1
Informacje iRadTech ESP APK
Superszybkie i bezpieczne pobieranie za pośrednictwem aplikacji APKPure
Jedno kliknięcie, aby zainstalować pliki XAPK/APK na Androidzie!







