عن iRadTech ESP
أونا جيا دي procedimientos diagnósticos الفقرة لوس tecnólogos radiológicos
iRadTech ESP هو عبارة عن مجموعة إجراءات تشخيصية لجميع الهواتف الذكية والأجهزة اللوحية.
La mayoría de los pacientes no se da cuenta que aún los tecnólogos más experienceados de vez en cuando tienen que buscar Referencias para poder realizar algunos estudios. كونه مسؤولاً عن الإجراءات الخاصة به على مستوى الواقع المهني ، فإن إجراءات التسجيل الخاصة بمسابقات حقيقية في الحياة الواقعية. Además de los tecnólogos experienceados، los estuudiantes de este campo encontraran en nuestro iRadTech ESP una guía de estudios مريحة وصديق.
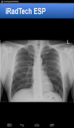
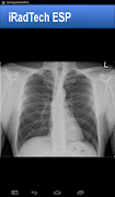
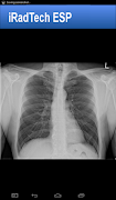
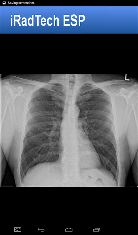
El propósito de iRadTech ESP هو عبارة عن معلومات عن طريقة عمل المعلومات. El tecnólogo encontrará Beneficio en las imágenes de las posiciones y las radiografías results. Con la información detallada que se incluye، el tecnólogo podrá realizar el posicionamiento del paciente y la imagen fixa en la primera ocasión. La repetición de las imágenes es la primera reasona del aumento en dosis al paciente y se puede limitar esta dosis useizando iRadTech ESP.
iRadTech ESP بما في ذلك:
• 190 + exámenes radiográficos
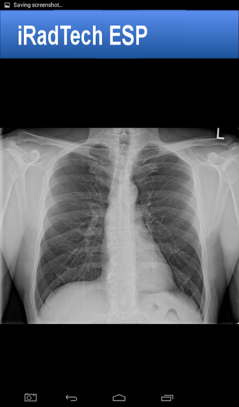
• Imágenes expandibles de cada posición
• Imágenes radiográficas تتوسع في الإجراءات.
• Instrucciones detalladas de cómo posicionar al paciente.
• Detalles نتيجة تحديد هوية في la radiografía.
سوبتيولوس:
• Posición del paciente
• Posición de la estructura anatómica
• Instrucciones de Respiración
• Colocación del receptor de imagen
• Localización del rayo central y angulación
• Detalles de calidad de la radiografía
• Estructuras anatómicas visualizadas
الولايات المتحدة زيارة موقع الويب nuestra página: iradtech.com.
What's new in the latest 2.1
معلومات iRadTech ESP APK
قم بتنزيل سريع وآمن بالغاية عبر تطبيق APKPure
قم بتثبيت ملفات XAPK/APK بنقرة واحدة على أندرويد!







