About iRadTech ESP
Una guía de procedimientos diagnósticos para los tecnólogos radiológicos
iRadTech ESP es una guía de procedimientos diagnósticos para los tecnólogos radiológicos para teléfonos móviles y tabletas.
La mayoría de los pacientes no se da cuenta que aún los tecnólogos más experimentados de vez en cuando tienen que buscar referencias para poder realizar algunos estudios. Con los cientos de procedimientos que se espera realice un tecnólogo a lo largo de su vida profesional, es sumamente difícil recordar procedimientos que quizás realice solamente una o dos veces en su carrera. Además de los tecnólogos experimentados, los estuudiantes de este campo encontraran en nuestro iRadTech ESP una guía de estudios conveniente y confiable.
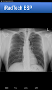
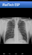
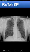
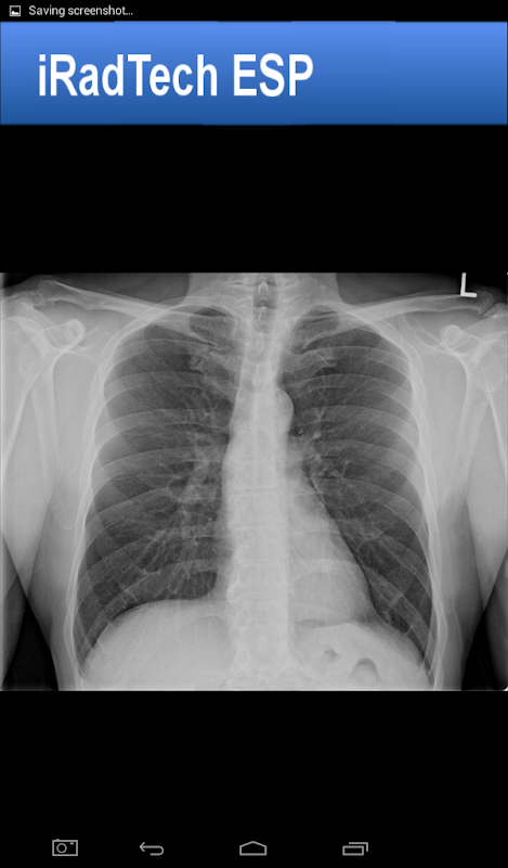
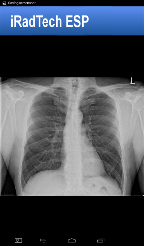
El propósito de iRadTech ESP es colocar a la mano del tecnólogo información de los procedimientos. El tecnólogo encontrará beneficio en las imágenes de las posiciones y las radiografías resultantes. Con la información detallada que se incluye, el tecnólogo podrá realizar el posicionamiento del paciente y la imagen correcta en la primera ocasión. La repetición de las imágenes es la primera causa del aumento en dosis al paciente y se puede limitar esta dosis utilizando iRadTech ESP.
iRadTech ESP incluye:
•190+ exámenes radiográficos
•Imágenes expandibles de cada posición
•Imágenes radiográficas expandibles para cada procedimiento.
•Instrucciones detalladas de cómo posicionar al paciente.
•Detalles a identificar en la radiografía resultante.
Subtítulos:
•Posición del paciente
•Posición de la estructura anatómica
•Instrucciones de respiración
•Colocación del receptor de imagen
•Localización del rayo central y angulación
•Detalles de calidad de la radiografía
•Estructuras anatómicas visualizadas
Estados Unidos o visitar nuestra página web: iradtech.com.
What's new in the latest 2.1
iRadTech ESP APK Information
Super Fast and Safe Downloading via APKPure App
One-click to install XAPK/APK files on Android!







