このiRadTech ESPについて
ウナギアデprocedimientosdiagnósticosパラロスtecnólogosのradiológicos
iRadTech ESP es una guía de procedimientos diagnósticos para los tecnólogos radiológicos para teléfonos móviles y tabletas.
La mayoría de los pacientes no se da cuenta que aún los tecnólogos más experimentados de vez en cuando tienen que buscar referencias para poder realizar algunos estudios. Con los cientos de procedimientos que se espera realice un tecnólogo a lo largo de su vida profesional, es sumamente difícil recordar procedimientos que quizás realice solamente una o dos veces en su carrera. Además de los tecnólogos experimentados, los estuudiantes de este campo encontraran en nuestro iRadTech ESP una guía de estudiosconfiable.
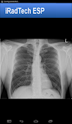
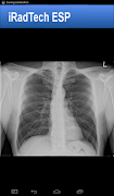
El propósito de iRadTech ESP es colocar a la mano del tecnólogo infomación de los procedimientos. El tecnólogo encontrará beneficio en las imágenes de las posiciones y las radiografías 結果. Con la información detallada que se incluye, el tecnólogo podrá realizar el posicionamiento del paciente y la imagen correcta en laprimera ocasión. La repetitión de las imágenes es laprimera causa del aumento en dosis al paciente y se puede limitar esta dosis utilizando iRadTech ESP.
iRadTech ESP には以下が含まれます。
• 190 以上の試験用ラジオグラフィクス
•Imágenes expandibles de cada posición
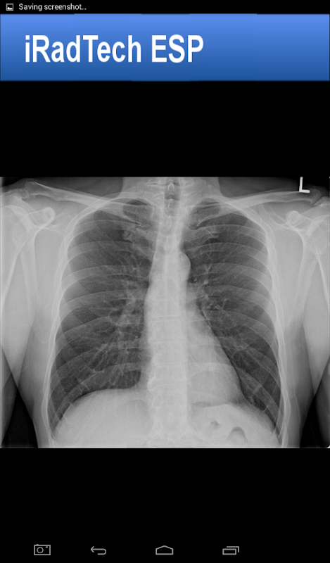
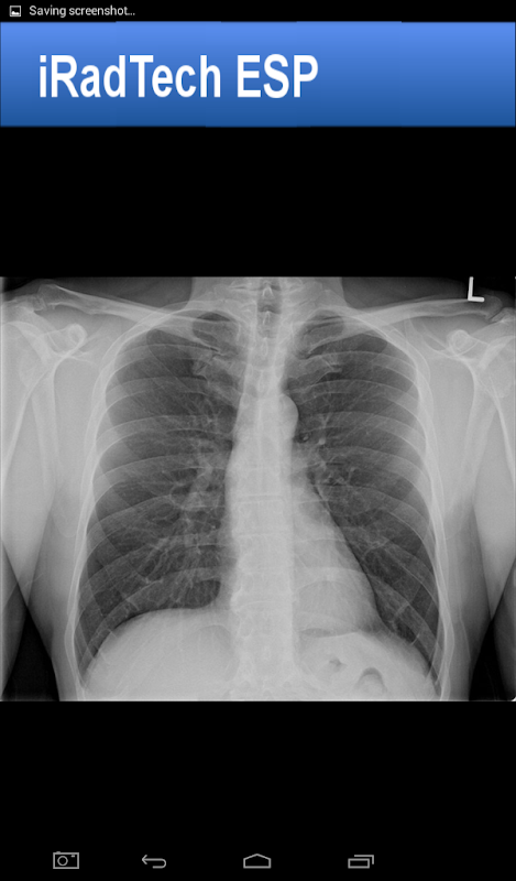
•Imágenes radiograficas expandibles para cada procedimiento.
•Instrucciones detalladas de como posicionar al paciente.
• ラジオグラフィアの結果としての識別情報を詳しく説明します。
サブタイトル:
•Posición del paciente
•Posición de la estructura anatómica
•Instrucciones de respiración
•Colocación del receptor de imagen
•Localización del rayo 中央ヤングラシオン
•Detalles de calidad de la radiografía
•Estructuras anatómicas visualizadas
Estados Unidos o visitar nuestra página web: iradtech.com.







