Mengenai iRadTech ESP
Una guía de procedimientos diagnósticos para los tecnólogos radiológicos
iRadTech ESP ialah satu prosedur diagnostik untuk radiologi teknologi untuk telefon bimbit dan tablet.
La mayoría de los pacientes no se da cuenta que aún los tecnólogos más experimentados de vez en cuando tienen que buscar referencias for poder realizar algunos estudios. Con los cientos de procedimientos que se espera realice un tecnólogo and lo largo de su vida profesional, es difícil recordar procedimientos que quizás realice solamente una or dos veces en su carrera. Además de los tecnólogos experimentados, los estuudiantes de este campo encontraran en nuestro iRadTech ESP unguía de estudios conveniente y confiable.
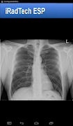
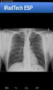
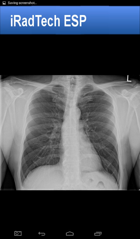
El propósito de iRadTech ESP ialah colocar a la mano del tecnólogo information de los procedimientos. El tecnólogo encontrará beneficio en las imágenes de las posiciones y las radiografías resultntes. Con la information detallada que se incluye, el tecnólogo podrá realizar el posicionamiento del paciente y la imagen correcta en la primera ocasión. La repetición de las imágenes es la primera causa del aumento en dos al paciente y se limitar esta dos utilizando iRadTech ESP.
iRadTech ESP termasuk:
•190+ memeriksa radiografik
•Imágenes expandibles de cada posición
•Imágenes radiográficas expandibles para cada procedimiento.
•Instrucciones detalladas de cómo posicionar al paciente.
•Memperincikan hasil radiografi yang dikenal pasti.
Subtajuk:
•Posición del paciente
•Posición de la estructura anatómica
•Instrucciones de respiración
•Colocación del receptor de imagen
•Localización del rayo central y angulación
•Detalles de calidad de la radiografía
•Estructuras anatómicas visualizadas
Amerika Syarikat atau melawat halaman nuestra web: iradtech.com.
What's new in the latest 2.1
Maklumat APK iRadTech ESP
Muat Turun Super Pantas dan Selamat melalui Apl APKPure
Satu klik untuk memasang fail XAPK/APK pada Android!







