Tentang CathSource
Referensi medis yang ditujukan untuk kateterisasi jantung dan angiografi.
CathSource (dari pencipta aplikasi mobile ECGsource dan EchoSource) adalah referensi medis up-to-date yang ditujukan khusus untuk kateterisasi jantung dan angiografi. Dikembangkan dengan berlatih Interventional Ahli jantung untuk kedua spesialis dan trainee di bidang penyakit kardiovaskular, CathSource menawarkan konten berikut:
* Indeks Dicari topik khusus termasuk:
Anatomi koroner yang normal
Arteri koroner anomali
Aneurisma Arteri Koroner
Tampilan standar Angiography
Koarktasio Aorta tersebut
Femoralis Arteri Akses untuk Angiography
Radial Arteri Akses untuk Angiography
Intravascular Ultrasound (IVUS)
Optical Coherence Tomography (OCT)
Fractional Flow Reserve (FFR)
Hemodinamik: intrakardiak Tekanan
Hemodinamik: intrakardiak Bentuk gelombang
Hemodinamik: output Cardiac
Hemodinamik: intrakardiak Shunts
Hemodinamik: Aortic Stenosis
Hemodynamcis: aorta Regurgitasi
Hemodinamik: Mitral Stenosis
Hemodynamcis: Mitral Regurgitasi
Hemodynamcis: Penyempitan
Hemodinamik: Restriction
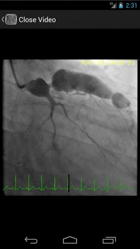
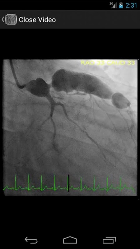
* Database Dicari mengandung lebih dari 30 video (angiogram koroner, ventriculograms, dan aortograms) dari kedua temuan umum dan langka di laboratorium kateterisasi jantung
* Database Dicari lebih dari 65 gambar termasuk formula hemodinamik, meja, dan tokoh
CathSource memberikan gambaran rinci penting kateterisasi jantung dan angiografi topik, menggabungkan pendidikan images / video serta review dari literatur medis yang bersangkutan. CathSource adalah aplikasi yang ideal untuk membantu Anda dalam memahami dan mengenali patologi kardiovaskular di laboratorium kateterisasi.
What's new in the latest 1.0
Informasi APK CathSource
Pengunduhan Super cepat dan aman melalui aplikasi APKPure
Sekali klik untuk menginstal file XAPK/APK di Android!




