Giới thiệu về CathSource
Tài liệu tham khảo y tế dành cho việc đặt ống thông tim và chụp động mạch.
CathSource (từ những người sáng tạo của ECGsource ứng dụng di động và EchoSource) là một tài liệu tham khảo y tế up-to-ngày dành riêng cho thông tim và chụp động mạch. Phát triển bằng cách thực hành can thiệp tim mạch học cho cả chuyên gia và học viên trong lĩnh vực bệnh tim mạch, CathSource cung cấp các nội dung sau đây:
* Chỉ số thể tìm kiếm chủ đề chuyên ngành bao gồm:
Giải phẫu bình thường mạch vành
Động mạch vành bất thường
Chứng phình mạch động mạch vành
Xem tiêu chuẩn của Angiography
Coarctation của động mạch chủ
Đùi động mạch truy cập cho Angiography
Radial động mạch truy cập cho Angiography
Siêu âm nội mạch (IVUS)
Quang Coherence chụp cắt lớp (OCT)
Lưu lượng dự trữ phân đoạn (FFR)
Huyết động: Intracardiac áp lực
Huyết động: Intracardiac dạng sóng
Huyết động: Kết quả tim
Huyết động: Intracardiac Shunts
Huyết động: mạch chủ bệnh hẹp
Hemodynamcis: động mạch chủ trào ngược
Huyết động: hai lá bệnh hẹp
Hemodynamcis: hai lá trào ngược
Hemodynamcis: Siết
Huyết động: Hạn chế
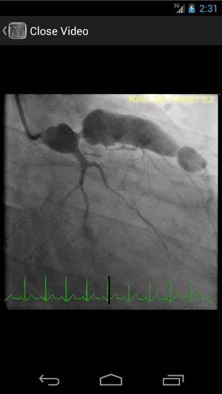
* Cơ sở dữ liệu có thể Tìm kiếm có chứa hơn 30 video (angiograms vành, ventriculograms, và aortograms) của cả hai phát hiện phổ biến và hiếm trong phòng thí nghiệm thông tim
* Cơ sở dữ liệu Tìm kiếm được hơn 65 hình ảnh bao gồm các công thức về huyết động học, bảng biểu, và con số
CathSource cung cấp một cái nhìn tổng quan chi tiết về chủ đề thông tim và chụp động mạch quan trọng, kết hợp hình ảnh giáo dục / video cũng như các ý kiến của văn học y tế liên quan. CathSource là ứng dụng lý tưởng để hỗ trợ bạn trong sự hiểu biết và nhận ra bệnh lý tim mạch trong phòng thí nghiệm đặt ống thông.
What's new in the latest 1.0
Thông tin APK CathSource
Tải xuống siêu nhanh và an toàn thông qua Ứng dụng APKPure
Một cú nhấp chuột để cài đặt các tệp XAPK/APK trên Android!




