เกี่ยวกับ CathSource
อ้างอิงทางการแพทย์เพื่อรองรับการสวนหัวใจและหลอดเลือด
CathSource (จากผู้สร้างของ ECGsource ปพลิเคชันบนมือถือและ EchoSource) เป็น up-to-วันที่อ้างอิงทางการแพทย์อุทิศตนเพื่อสวนหัวใจและหลอดเลือด ที่พัฒนาโดยการฝึก Interventional แพทย์โรคหัวใจสำหรับทั้งผู้เชี่ยวชาญและการฝึกอบรมในด้านการเกิดโรคหัวใจและหลอดเลือด CathSource มีเนื้อหาดังต่อไปนี้
* ดัชนีค้นหาของหัวข้อเฉพาะรวมถึง:
กายวิภาคของหัวใจปกติ
หลอดเลือดหัวใจผิดปกติ
Aneurysms หลอดเลือด
อ่านมาตรฐานของ Angiography
Coarctation ของ Aorta
เข้าเส้นเลือดแดงเพื่อ Angiography
เข้าหลอดเลือดแดงเรเดียลเพื่อ Angiography
อัลตราซาวด์หลอดเลือด (IVUS)
Optical Coherence Tomography (OCT)
บางส่วนไหลสำรอง (FFR)
ทำให้ได้ hemodynamics: แรงกดดัน intracardiac
ทำให้ได้ hemodynamics: intracardiac รูปคลื่น
ทำให้ได้ hemodynamics: เอาท์พุทหัวใจ
ทำให้ได้ hemodynamics: intracardiac ดาษดื่น
ทำให้ได้ hemodynamics: หลอดเลือดตีบ
Hemodynamcis: เลือดสำรอก
ทำให้ได้ hemodynamics: Mitral ตีบ
Hemodynamcis: Mitral สำรอก
Hemodynamcis: รัด
ทำให้ได้ hemodynamics: ข้อ จำกัด
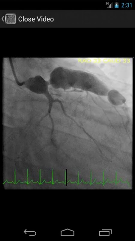
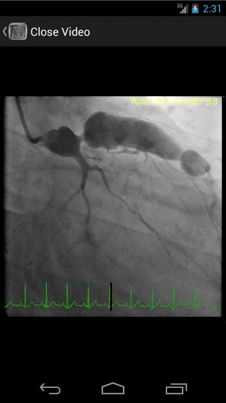
* ฐานข้อมูลที่สามารถค้นหาได้ที่มีมากกว่า 30 วิดีโอ (angiograms หัวใจ ventriculograms และ aortograms) ของผลการวิจัยทั้งสองร่วมกันและหายากในห้องปฏิบัติการตรวจสวนหัวใจ
* ฐานข้อมูลที่สามารถค้นหาได้กว่า 65 ภาพรวมทั้งสูตรการไหลเวียนโลหิตตารางและตัวเลข
CathSource ให้ภาพรวมรายละเอียดของการสวนหัวใจและหลอดเลือดหัวข้อที่สำคัญมาตรการการศึกษาภาพ / วิดีโอรวมทั้งความคิดเห็นของวรรณกรรมทางการแพทย์ที่เกี่ยวข้อง CathSource เป็นโปรแกรมที่เหมาะที่จะช่วยคุณในการทำความเข้าใจและการตระหนักถึงโรคหัวใจและหลอดเลือดในห้องปฏิบัติการสวน
What's new in the latest 1.0
ข้อมูล CathSource APK
การดาวน์โหลดที่รวดเร็วและปลอดภัยเป็นพิเศษผ่านแอป APKPure
คลิกเพียงครั้งเดียวเพื่อติดตั้งไฟล์ XAPK/APK บน Android!




