À propos de CathSource
Référence médicale consacrée à un cathétérisme cardiaque et l'angiographie.
CathSource (par les créateurs de la ECGsource applications mobiles et EchoSource) est une référence médicale mise à jour consacrée exclusivement à un cathétérisme cardiaque et l'angiographie. Développé par la pratique de cardiologues interventionnels pour les spécialistes et de stagiaires dans le domaine des maladies cardio-vasculaires, CathSource propose le contenu suivant:
* Consultez l'indicateur des sujets spécialisés, y compris:
Anatomie coronaire normale
Artères coronaires anormales
Des anévrismes coronariens
Vues standard de l'angiographie
Coarctation de l'aorte
Artère fémorale pour angiographie
Artère radiale pour angiographie
Échographie intravasculaire (IVUS)
Tomographie par cohérence optique (OCT)
Fractional Flow Reserve (FFR)
Hémodynamique: pressions intracardiaques
Hémodynamique: intracardiaques formes d'onde
Hémodynamique: débit cardiaque
Hémodynamique: shunts intracardiaques
Hémodynamique: sténose aortique
Hemodynamcis: Insuffisance aortique
Hémodynamique: Sténose mitrale
Hemodynamcis: régurgitation mitrale
Hemodynamcis: constriction
Hémodynamique: Restriction
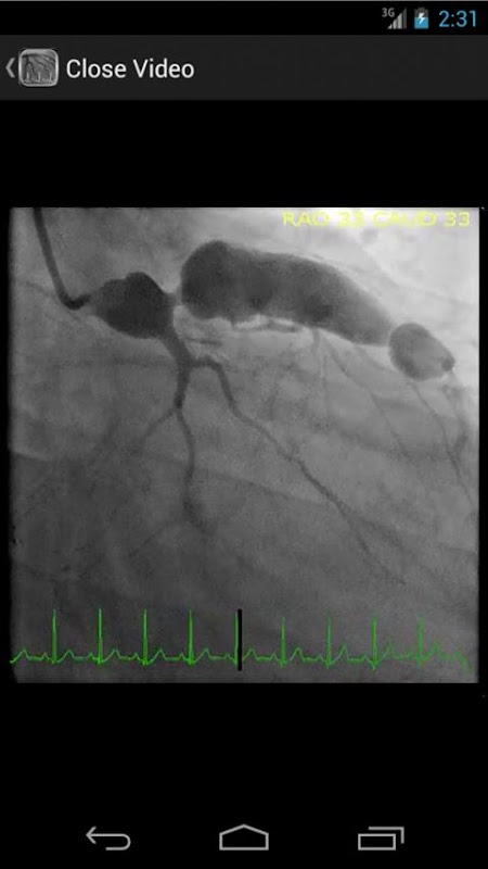
* Base de données consultable contenant plus de 30 vidéos (coronarographies, ventriculogrammes et aortograms) des deux résultats communs et rares dans le laboratoire de cathétérisme cardiaque
* Base de données consultable de plus de 65 images, y compris des formules hémodynamiques, des tableaux et figures
CathSource donne un aperçu détaillé de cathétérisme cardiaque et l'angiographie des sujets importants, incorporant des images / vidéos éducatives ainsi que des critiques de la littérature médicale pertinente. CathSource est l'application idéale pour vous aider à comprendre et reconnaître la pathologie cardio-vasculaire dans le laboratoire de cathétérisme.
What's new in the latest 1.0
Informations CathSource APK
Téléchargement super rapide et sûr via l'application APKPure
Un clic pour installer les fichiers XAPK/APK sur Android!




