Sobre este CathSource
Referência médica dedicada ao cateterismo cardíaco e angiografia.
CathSource (dos criadores da ECGsource aplicativos móveis e EchoSource) é uma referência médica up-to-date dedicado exclusivamente ao cateterismo cardíaco e angiografia. Desenvolvido por praticar intervencionistas Cardiologistas para ambos os especialistas e estagiários na área de doenças cardiovasculares, CathSource oferece o seguinte conteúdo:
* Índice para consultar os tópicos especializados, incluindo:
Anatomia coronariana normal
Artérias Coronárias anômalos
Os aneurismas da artéria coronária
Visualizações padrão de Angiografia
Coarctação da Aorta
Artéria Femoral Acesso para Angiografia
Artéria Radial Acesso para Angiografia
O ultra-som intravascular (IVUS)
Tomografia de Coerência Óptica (OCT)
Fluxo Fracionado de Reserva (FFR)
Hemodinâmica: Pressões intracardíacos
Hemodinâmica: intracardíacos formas de onda
Hemodinâmica: Débito Cardíaco
Hemodinâmica: intracardíacos Shunts
Hemodinâmica: Estenose Aórtica
Hemodynamcis: aórtica
Hemodinâmica: Estenose Mitral
Hemodynamcis: Mitral
Hemodynamcis: constrição
Hemodinâmica: Restrição
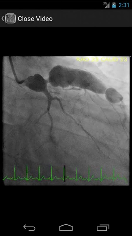
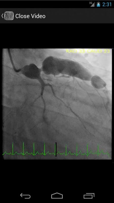
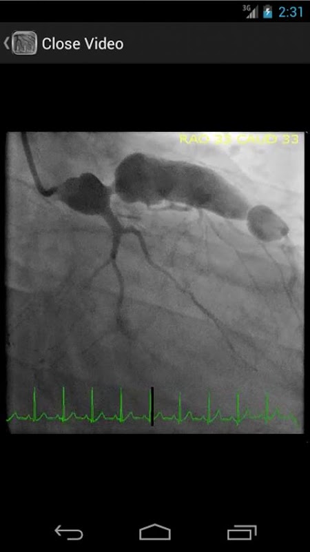
* Banco de dados contendo mais de 30 vídeos (angiografias coronárias, ventriculogramas e aortograms) de ambos os achados comuns e raras no laboratório de cateterismo cardíaco
* Banco de dados pesquisável de mais de 65 imagens, incluindo fórmulas hemodinâmicos, tabelas e figuras
CathSource fornece uma visão detalhada de importantes cateterismo cardíaco e angiografia temas, incorporando imagens / vídeos educativos, bem como revisões de literatura pertinente. CathSource é a aplicação ideal para ajudá-lo na compreensão e reconhecimento de patologia cardiovascular no laboratório de cateterismo.
Novidades em 1.0 mais recente
Informações sobre CathSource APK
Baixar de Forma Rápida e Segura via APKPure App
Um clique para instalar arquivos XAPK/APK no Android!




