Informazioni su CathSource
Riferimento Medical dedicato a cateterismo cardiaco e angiografia.
CathSource (dai creatori della ECGsource applicazioni mobili e EchoSource) è un riferimento medico up-to-date dedicato esclusivamente al cateterismo cardiaco e angiografia. Sviluppato da praticare cardiologi interventisti sia per specialisti e tirocinanti nel campo delle malattie cardiovascolari, CathSource offre il seguente contenuto:
* Indice consultabile dei temi specialistici, tra cui:
Normale anatomia coronarica
Arterie coronarie anomale
Aneurismi dell'arteria coronarica
Vista standard di Angiografia
Coartazione dell'aorta
Accesso all'arteria femorale per angiografia
Radial Artery Accesso per angiografia
Ecografia intravascolare (IVUS)
Optical Coherence Tomography (OCT)
Frazionale riserva di flusso (FFR)
Emodinamica: intracardiaci Pressioni
Emodinamica: intracardiaci forme d'onda
Emodinamica: gittata cardiaca
Emodinamica: intracardiaci Shunt
Emodinamica: Stenosi aortica
Hemodynamcis: Rigurgito aortico
Emodinamica: mitralica Stenosi
Hemodynamcis: mitrale Rigurgito
Hemodynamcis: Costrizione
Emodinamica: Limitazione
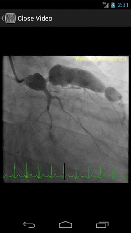
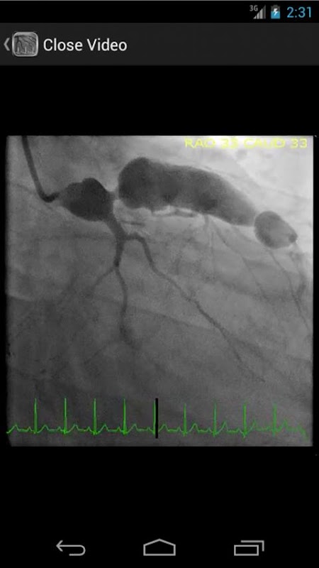
* Banca dati che contiene più di 30 video (angiografie coronariche, ventriculograms e aortograms) di entrambi i reperti comuni e rare in laboratorio di cateterizzazione cardiaca
* Database ricercabile di oltre 65 immagini, tra cui formule emodinamici, tabelle e figure
CathSource fornisce una panoramica dettagliata di temi importanti cateterismo cardiaco e angiografia, incorporando immagini educativi / video, così come le opinioni di letteratura medica pertinente. CathSource è l'applicazione ideale per aiutare a comprendere e riconoscere la patologia cardiovascolare nel laboratorio di cateterizzazione.
What's new in the latest 1.0
Informazioni sull'APK CathSource
Download super veloce e sicuro tramite l'app APKPure
Basta un clic per installare i file XAPK/APK su Android!




