عن CathSource
المرجع الطبي المكرسة لقسطرة القلب والأوعية.
CathSource (من المبدعين من ECGsource تطبيقات الجوال وEchoSource) هو المرجع الطبي ما يصل إلى تاريخ المكرسة حصرا لقسطرة القلب والأوعية. وضعت من خلال ممارسة التدخلية القلب لكل من المتخصصين والمتدربين في مجال أمراض القلب والأوعية الدموية، CathSource يقدم المحتوى التالي:
* مؤشر يمكن البحث من المواضيع المتخصصة بما في ذلك:
التشريح التاجي العادي
الشرايين التاجية الشاذة
تمدد الأوعية الدموية الشريان التاجي
المشاهدات معيار تصوير الأوعية الدموية
تضيق في الشريان الأورطي
وصول الشريان الفخذي لتصوير الأوعية الدموية
وصول الشريان الكعبري لتصوير الأوعية الدموية
الموجات فوق الصوتية داخل الأوعية (IVUS)
بالاتساق البصرية التصوير المقطعي (أكتوبر)
الاحتياطي تدفق كسور (FFR)
ديناميكا الدم: الضغوط داخل القلب
ديناميكا الدم: الطول الموجي داخل القلب
ديناميكا الدم: إخراج القلب
ديناميكا الدم: داخل القلب يحول
ديناميكا الدم: الأورطي تضيق
Hemodynamcis: الأورطي قلس
ديناميكا الدم: تاجي تضيق
Hemodynamcis: التاجي قلس
Hemodynamcis: انقباض
ديناميكا الدم: تقييد
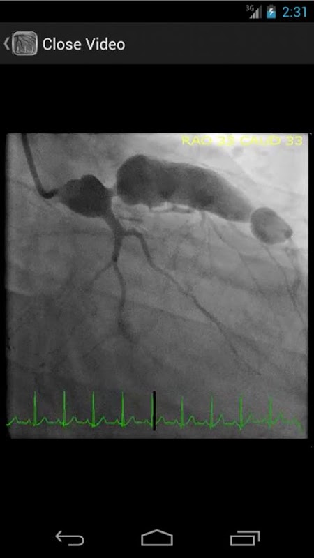
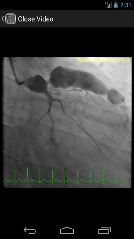
* قاعدة بيانات يمكن البحث فيها تحتوي على أكثر من 30 أشرطة الفيديو (تصوير القلب التاجية، ventriculograms، وaortograms) كل من استنتاجات مشتركة ونادرة في مختبر قسطرة القلب
* قاعدة بيانات قابلة للبحث لأكثر من 65 صيغ الصور بما في ذلك الدورة الدموية، والجداول، والأرقام
يوفر CathSource لمحة مفصلة عن قسطرة القلب والأوعية المواضيع الهامة، وتتضمن الصور التعليمية / الفيديو، فضلا عن استعراض الأدب الطبي ذات الصلة. CathSource هو التطبيق المثالي لمساعدتك في فهم وإدراك أمراض القلب والأوعية الدموية في المختبر القسطرة.
What's new in the latest 1.0
معلومات CathSource APK
قم بتنزيل سريع وآمن بالغاية عبر تطبيق APKPure
قم بتثبيت ملفات XAPK/APK بنقرة واحدة على أندرويد!




