O CathSource
Odniesienia medyczne poświęcone cewnikowania serca i koronarografii.
CathSource (od twórców ECGsource Apps i EchoSource) jest up-to-date odniesienia medyczny poświęcony wyłącznie do cewnikowania serca i koronarografii. Opracowany przez praktykujących kardiologów interwencyjnych zarówno dla specjalistów i stażystów w dziedzinie chorób układu krążenia, CathSource oferuje następującą treść:
* Przeszukiwania indeks specjalistycznych tematów, w tym:
Normalna Anatomia wieńcowa
Anomalii tętnic wieńcowych
Tętniaki tętnicy wieńcowej
Standardowe Widoki angiografii
Koarktacji aorty
Dostęp do tętnicy udowej do angiografii
Tętnicy promieniowej Dostęp do angiografii
Ultrasonografii wewnątrznaczyniowej (IVUS)
Spójność optyczna tomografia (OCT)
Frakcyjnej rezerwy przepływu (FFR)
Hemodynamiki: dosercowe Ciśnienia
Hemodynamiki: Przebiegi wewnątrzsercowej
Hemodynamiki: Cardiac Output
Hemodynamiki: dosercowe boczniki
Hemodynamiki: zwężenie aorty
Hemodynamcis: niedomykalność zastawki aortalnej
Hemodynamiki: zwężenie zastawki dwudzielnej
Hemodynamcis: niedomykalność zastawki mitralnej
Hemodynamcis: Skurcz
Hemodynamiki: Ograniczenie
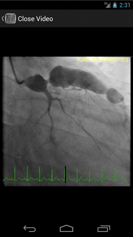
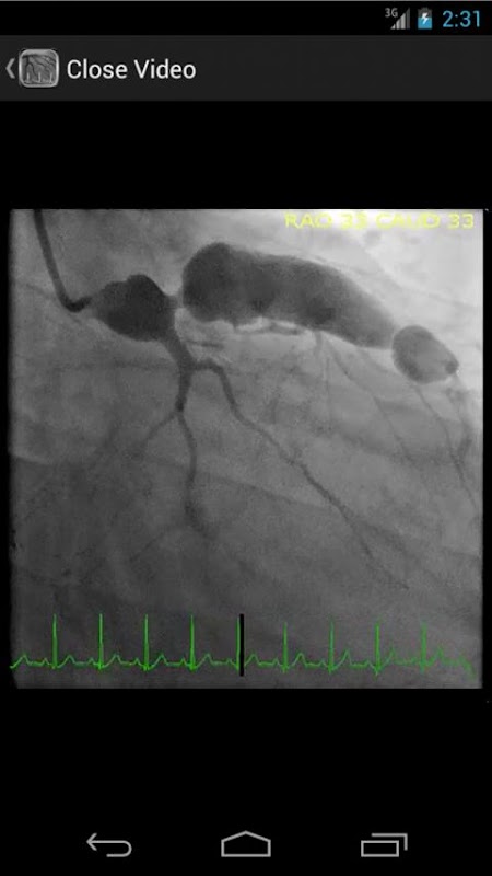
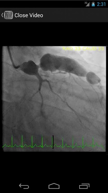
* Bazę danych zawierającą ponad 30 filmów (angiografii wieńcowej, ventriculograms i aortograms) obu wspólnych i rzadkich ustaleń w pracowni cewnikowania serca
* Bazę danych z ponad 65 obrazów, w tym hemodynamicznych wzorów, tabel i rycin
CathSource zapewnia szczegółowy przegląd najważniejszych cewnikowania serca i angiografii tematów, zawierające edukacyjne obrazy / wideo, a także opinie o stosownej literaturze medycznej. CathSource jest idealnym rozwiązaniem, aby pomóc w zrozumieniu i rozpoznawaniu patologii układu krążenia w laboratorium cewnikowania.
What's new in the latest 1.0
Informacje CathSource APK
Superszybkie i bezpieczne pobieranie za pośrednictwem aplikacji APKPure
Jedno kliknięcie, aby zainstalować pliki XAPK/APK na Androidzie!




