Oписание CathSource
Медицинская справка посвящена катетеризации сердца и ангиографии.
CathSource (от создателей ECGsource мобильных приложений и EchoSource) является до современных медицинский справочник, посвященный исключительно катетеризации сердца и ангиографии. CathSource разработан практикующими интервенционных кардиологов как для специалистов и практикантов в области сердечно-сосудистых заболеваний, предлагает следующее содержание:
* Поисковый индекс специализированным темам в том числе:
Нормальная Ишемическая Анатомия
Аномальные коронарных артерий
Коронарной артерии аневризмы
Стандартные Мнения ангиографии
Коарктация аорты
Бедренной артерии Доступ для ангиографии
Лучевой артерии Доступ для ангиографии
Внутрисосудистое ультразвуковое исследование (ВСУЗИ)
Оптический когерентной томографии (ОКТ)
Долевое потока заповедник (ФРК)
Гемодинамики: Внутрисердечные Давление
Гемодинамики: Внутрисердечные осциллограмм
Гемодинамика: Сердечный выброс
Гемодинамики: Внутрисердечные Шунты
Гемодинамика: аортальный стеноз
Hemodynamcis: недостаточность аортального
Гемодинамика: митральный стеноз
Hemodynamcis: митрального клапана
Hemodynamcis: Сужение
Гемодинамика: Ограничение
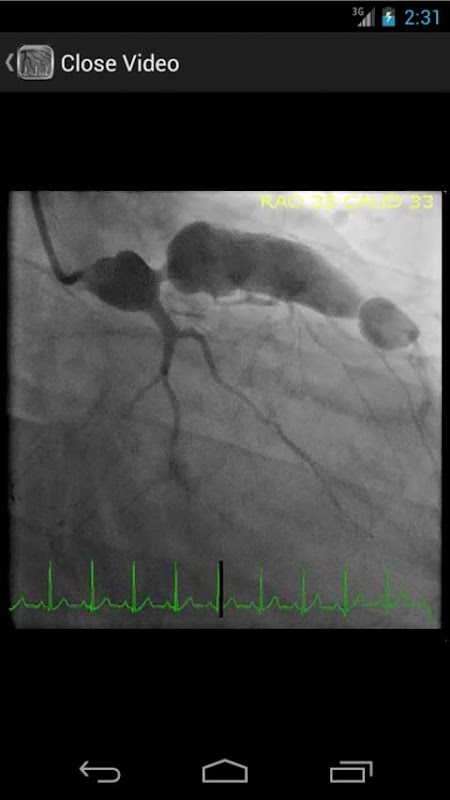
* Добавлена база данных, содержащая более 30 видео (коронарной ангиографии, ventriculograms и aortograms) обоих распространенных и редких находок в лаборатории катетеризации сердца
* Добавлена база данных из более чем 65 изображений, включая гемодинамики формул, таблиц и фигур
CathSource предоставляет подробный обзор важных катетеризации сердца и ангиографии темам, включая образовательные изображений / видео, а также отзывы о соответствующей медицинской литературе. CathSource является идеальным приложением, чтобы помочь вам в понимании и признании сердечно-сосудистой патологии в лаборатории катетеризации.
Что нового в последней версии 1.0
Информация CathSource APK
Супер Быстрая и Безопасная Загрузка через Приложение APKPure
Один клик для установки XAPK/APK файлов на Android!




