Over CathSource
Medische verwijzing gewijd aan hartkatheterisatie en angiografie.
CathSource (van de makers van de mobiele apps ECGsource en EchoSource) is een up-to-date medische verwijzing uitsluitend gewijd aan hartkatheterisatie en angiografie. Ontwikkeld door het beoefenen van interventionele cardiologen voor zowel specialisten en stagiairs op het gebied van hart-en vaatziekten, CathSource heeft de volgende inhoud:
* Doorzoekbare index van gespecialiseerde onderwerpen, waaronder:
Normaal coronairanatomie
Anomalous kransslagaders
Coronary Artery Aneurysma
Standaard Uitzicht op angiografie
Coarctatie van de aorta
Arteria femoralis voor angiografie
Radiale arterie voor angiografie
Intravascular Ultrasound (IVUS)
Optical Coherence Tomography (OCT)
Fractional Flow Reserve (FFR)
Hemodynamica: Intracardiale Drukken
Hemodynamica: Intracardiale Waveforms
Hemodynamica: Cardiac Output
Hemodynamica: Intracardiale Shunts
Hemodynamica: Aortastenose
Hemodynamcis: aortaregurgitatie
Hemodynamica: mitraalstenose
Hemodynamcis: mitralisinsufficiëntie
Hemodynamcis: Vernauwing
Hemodynamica: Beperking
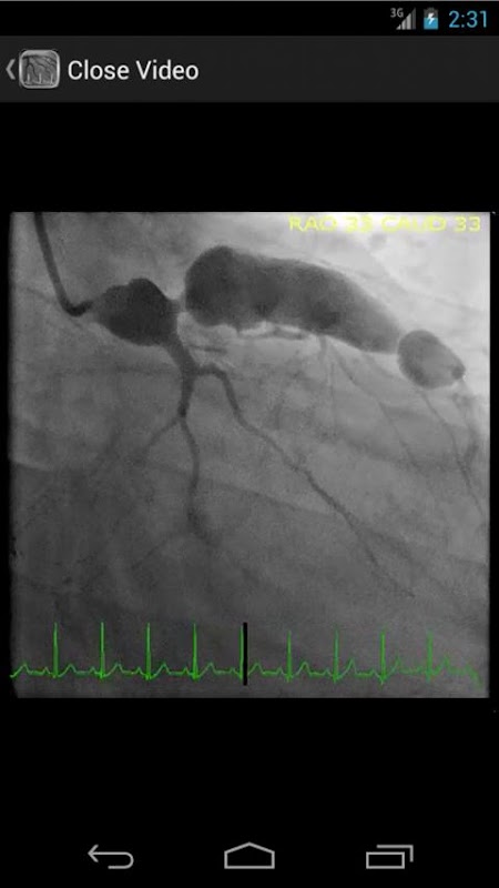
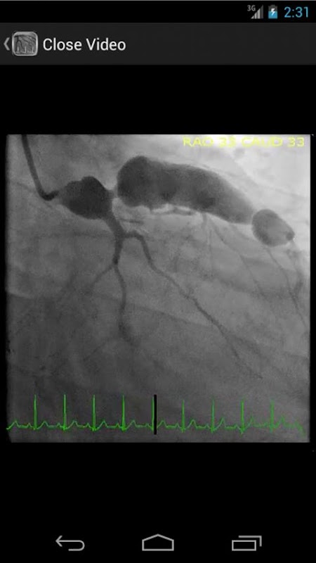
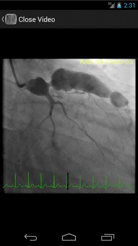
* Doorzoekbare database met meer dan 30 video's (coronaire angiografie, ventriculograms en aortograms) van zowel gemeenschappelijke als zeldzame bevindingen in het hartcatheteriserenlaboratorium
* Doorzoekbare database van meer dan 65 afbeeldingen, waaronder hemodynamische formules, tabellen en figuren
CathSource geeft een gedetailleerd overzicht van belangrijke hartkatheterisatie en angiografie onderwerpen, waarin educatieve afbeeldingen / video's en reviews van relevante medische literatuur. CathSource is de ideale toepassing om u te helpen bij het begrijpen en herkennen van cardiovasculaire pathologie in de catheterisatie lab.
What's new in the latest 1.0
CathSource APK -informatie
Supersnel en veilig downloaden via de APKPure-app
Eén klik om XAPK/APK-bestanden op Android te installeren!




