CathSource के बारे में
मेडिकल संदर्भ कार्डियक कैथीटेराइजेशन और एंजियोग्राफी के लिए समर्पित.
(मोबाइल क्षुधा ECGsource और EchoSource के रचनाकारों से) CathSource कार्डियक कैथीटेराइजेशन और एंजियोग्राफी के लिए विशेष रूप से समर्पित एक अप करने की तारीख चिकित्सा संदर्भ है. हृदय रोग के क्षेत्र में दोनों विशेषज्ञों और प्रशिक्षुओं के लिए interventional हृदय रोग विशेषज्ञों अभ्यास द्वारा विकसित, CathSource निम्नलिखित सामग्री प्रदान करता है:
* सहित विशेष विषयों की खोज सूचकांक:
सामान्य कोरोनरी एनाटॉमी
विषम कोरोनरी धमनियों
कोरोनरी धमनी Aneurysms
एंजियोग्राफी के मानक दृश्य
महाधमनी के निसंकुचन
एंजियोग्राफी के लिए और्विक धमनी पहुँच
एंजियोग्राफी के लिए रेडियल धमनी पहुँच
Intravascular अल्ट्रासाउंड (IVUS)
ऑप्टिकल जुटना टोमोग्राफी (अक्टूबर)
आंशिक फ्लो रिजर्व (FFR)
Hemodynamics: intracardiac दबाव
Hemodynamics: intracardiac Waveforms
Hemodynamics: कार्डियक आउटपुट
Hemodynamics: intracardiac Shunts
Hemodynamics: महाधमनी प्रकार का रोग
Hemodynamcis: महाधमनी regurgitation
Hemodynamics: मित्राल प्रकार का रोग
Hemodynamcis: mitral regurgitation
Hemodynamcis: कसना
Hemodynamics: प्रतिबंध
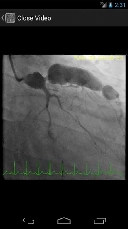
* हृदय कैथीटेराइजेशन प्रयोगशाला में आम और दुर्लभ निष्कर्ष दोनों के 30 से अधिक वीडियो (कोरोनरी angiograms, ventriculograms, और aortograms) युक्त खोज डेटाबेस
* Hemodynamic सूत्र, टेबल, और आंकड़ों सहित 65 से अधिक छवियों की खोज डेटाबेस
CathSource शैक्षिक छवियों / वीडियो के साथ ही उचित चिकित्सा साहित्य की समीक्षा शामिल है, महत्वपूर्ण कार्डियक कैथीटेराइजेशन और एंजियोग्राफी विषयों की एक विस्तृत अवलोकन प्रदान करता है. CathSource समझ और कैथीटेराइजेशन प्रयोगशाला में हृदय विकृति को पहचानने में सहायता करने के लिए आदर्श आवेदन है.
What's new in the latest 1.0
CathSource APK जानकारी
APKPure ऐप के माध्यम से सुपर तेज़ और सुरक्षित डाउनलोडिंग
एंड्रॉइड पर XAPK/APK फ़ाइलें इंस्टॉल करने के लिए एक-क्लिक करें!




