Mengenai CathSource
Rujukan perubatan yang ditujukan untuk catheterization jantung dan angiografi.
CathSource (dari pencipta ECGsource aplikasi mudah alih dan EchoSource) adalah rujukan perubatan up-to-tarikh berbakti semata-mata untuk catheterization jantung dan angiografi. Dibangunkan dengan mengamalkan intervensi kardiologi bagi kedua-dua pakar dan pelatih dalam bidang penyakit kardiovaskular, CathSource menawarkan kandungan yang berikut:
* Indeks dicari topik khusus termasuk:
Anatomi Koronari Normal
Arteri Koronari ganjil
Aneurisme Arteri Koronari
Views taraf angiografi
Koarktasi Aorta
Akses Arteri femoral untuk angiografi
Akses Arteri Radial untuk angiografi
Intravascular Ultrasound (IVUS)
Coherence optik Tomography (OCT)
Pecahan Aliran Rizab (FFR)
Hemodynamics: Tekanan Intracardiac
Hemodynamics: Intracardiac Bentuk gelombang
Hemodynamics: Output jantung
Hemodynamics: Intracardiac shunts
Hemodynamics: aortic Stenosis
Hemodynamcis: aortic memuntahkan
Hemodynamics: mitral Stenosis
Hemodynamcis: mitral memuntahkan
Hemodynamcis: penyempitan
Hemodynamics: Sekatan
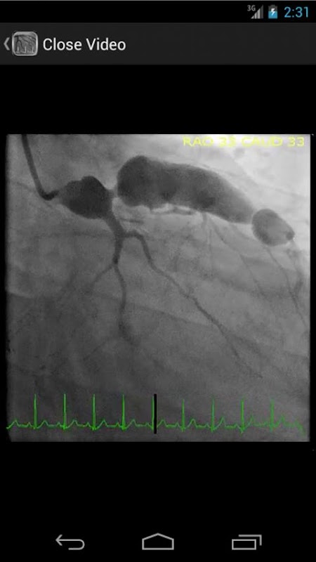
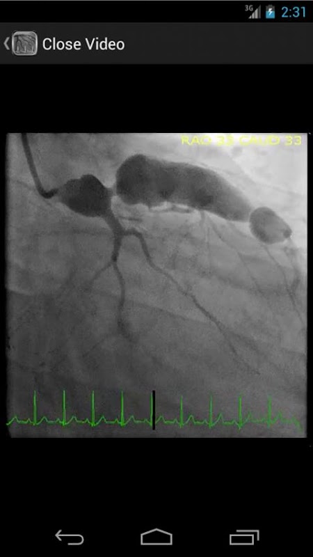
* Pangkalan data dicari yang mengandungi lebih daripada 30 video (angiogram koronari, ventriculograms, dan aortograms) kedua-dua hasil penemuan dan jarang berlaku di makmal catheterization jantung
* Database lebih 65 imej termasuk formula hemodinamik, jadual, dan angka
CathSource memberikan gambaran terperinci catheterization jantung dan angiografi topik penting, menggabungkan imej pendidikan / video serta ulasan kesusasteraan perubatan yang berkaitan. CathSource adalah aplikasi yang ideal untuk membantu anda dalam memahami dan mengiktiraf patologi kardiovaskular di makmal catheterization itu.
What's new in the latest 1.0
Maklumat APK CathSource
Muat Turun Super Pantas dan Selamat melalui Apl APKPure
Satu klik untuk memasang fail XAPK/APK pada Android!




