About CathSource
Medical reference devoted to cardiac catheterization and angiography.
CathSource (from the creators of the mobile apps ECGsource and EchoSource) is an up-to-date medical reference devoted exclusively to cardiac catheterization and angiography. Developed by practicing Interventional Cardiologists for both specialists and trainees in the field of cardiovascular disease, CathSource offers the following content:
* Searchable index of specialized topics including:
Normal Coronary Anatomy
Anomalous Coronary Arteries
Coronary Artery Aneurysms
Standard Views of Angiography
Coarctation of the Aorta
Femoral Artery Access for Angiography
Radial Artery Access for Angiography
Intravascular Ultrasound (IVUS)
Optical Coherence Tomography (OCT)
Fractional Flow Reserve (FFR)
Hemodynamics: Intracardiac Pressures
Hemodynamics: Intracardiac Waveforms
Hemodynamics: Cardiac Output
Hemodynamics: Intracardiac Shunts
Hemodynamics: Aortic Stenosis
Hemodynamcis: Aortic Regurgitation
Hemodynamics: Mitral Stenosis
Hemodynamcis: Mitral Regurgitation
Hemodynamcis: Constriction
Hemodynamics: Restriction
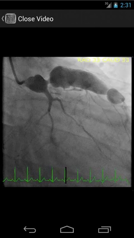
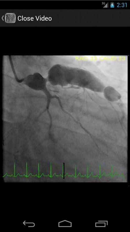
* Searchable database containing more than 30 videos (coronary angiograms, ventriculograms, and aortograms) of both common and rare findings in the cardiac catheterization lab
* Searchable database of over 65 images including hemodynamic formulas, tables, and figures
CathSource provides a detailed overview of important cardiac catheterization and angiography topics, incorporating educational images/videos as well as reviews of pertinent medical literature. CathSource is the ideal application to assist you in understanding and recognizing cardiovascular pathology in the catheterization lab.
What's new in the latest 1.0
CathSource APK معلومات
APKPure ایپکےذریعےانتہائی تیزاورمحفوظڈاؤنلوڈنگ
Android پر XAPK/APK فائلیںانسٹالکرنےکےلیےایککلککریں!




