AHA 17 SEGMENT INTERACTIVE HEA
20.4 MB
ফাইলের আকার
Everyone
Android 5.0+
Android OS
AHA 17 SEGMENT INTERACTIVE HEA সম্পর্কে
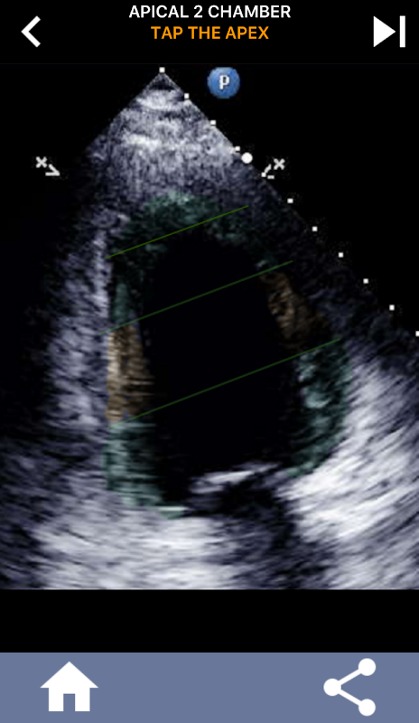
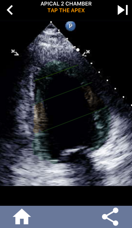
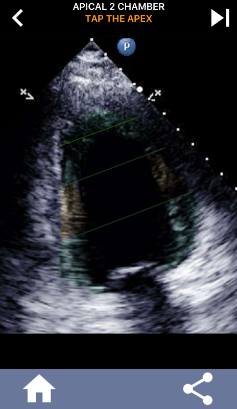
দ্রুত অই 17 সেগমেন্ট হৃদয় মডেল শিখতে, সমস্ত ছাত্র echo জন্য অপরিহার্য!
আল্ট্রাসাউন্ড ইকোকার্ডিওগ্রাফাররা আমেরিকান হার্ট অ্যাসোসিয়েশনের বাম ভেন্ট্রিকালের 17 টি সেগমেন্টে কার্ডিয়াক সেগমেন্টেশন শিখতে অপরিহার্য, যা অবস্থানের বর্ণনা দিতে চৌম্বকীয় অনুরণন ইমেজিং, কার্ডিয়াক পারমাণবিক পরীক্ষার ইত্যাদি অন্যান্য ইমেজিং পদ্ধতিগুলির দ্বারা ব্যাপকভাবে ব্যবহৃত হয়। প্রভাবিত সেগমেন্ট এবং ফাংশন। আপনার ইকোটি পড়ার সময় কতবার ব্যক্তি জিজ্ঞাসা করবে "আপনি কি দেখেছেন?" এবং প্রভাবিত এলাকা একটি সঠিক অবস্থান সঙ্গে উত্তর কি প্রত্যাশিত হয়।
এই অ্যাপ্লিকেশনটি এএএ খণ্ডিত মায়োকার্ডিয়াম দেখানো সমস্ত ইকো ভিউ ধারণ করে এবং আপনি সঠিক সেগমেন্টটি ট্যাপ করতে কুইজ করবে। আমি ব্যক্তিগতভাবে যে শিখতে দ্রুত / শিখতে বিষয় যখন আমার পুনরাবৃত্তিমূলক quizzing আমার জন্য ভাল কাজ করে। যদি আপনি আল্ট্রা / টিটিই অধ্যয়নরত আল্ট্রাসাউন্ড শিক্ষার্থী হন তবে আমি মনে করি এটি আপনার গবেষণার জন্য একটি চমৎকার পরিপূরক হবে।
অ্যাপ্লিকেশন দেখতে অ্যাপ্লিকেশন দেখতে ইউটিউব ভিডিও লিঙ্ক দেখুন
অ্যাপ ডিসক্লেমার
কোন পরামর্শ নেই
এই অ্যাপ্লিকেশনটি ("অ্যাপ্লিকেশন") কেবল তথ্য সরবরাহ করে, চিকিৎসা বা চিকিত্সার পরামর্শ নয় এবং ব্যবহারকারীর দ্বারা এটি ব্যবহার করা যাবে না। যেমন, এই অ্যাপ্লিকেশনটি চিকিৎসা নির্ণয়ের উদ্দেশ্যে বা চিকিৎসা সেবা বা চিকিৎসার সুপারিশের জন্য নির্ভর করে না। এই অ্যাপ্লিকেশনের তথ্য পেশাদার চিকিৎসা পরামর্শ, নির্ণয়ের বা চিকিত্সার জন্য একটি বিকল্প নয়। টেক্সট, গ্রাফিক্স, চিত্র এবং তথ্য সহ সমস্ত সামগ্রী, এই অ্যাপের মাধ্যমে পাওয়া বা উপলব্ধ সাধারণ তথ্যের উদ্দেশ্যে শুধুমাত্র
কোন রিলায়েন্স নেই
আপনি এই অ্যাপ্লিকেশনটি যে কোনও ডিগনিসিস বা মেডিকেল চিকিত্সার জন্য সুপারিশের জন্য ব্যবহার করা কোনও তথ্যের উপর নির্ভর করতে পারেন না। আপনার PHYSICAN বা অন্য পেশাগত স্বাস্থ্যসেবা সরবরাহকারীর কাছ থেকে মেডিকেল পরামর্শের পরিবর্তে এই অ্যাপ্লিকেশন থেকে প্রাপ্ত তথ্যটি আপনাকে অবশ্যই কখনও বিশ্বাস করতে হবে না।
আপনি এই অ্যাপ্লিকেশনটি দেখেছেন বা অ্যাক্সেস করেছেন এমন কোনও তথ্যের ফলাফল হিসাবে আপনাকে অবশ্যই পেশাদার চিকিৎসা পরামর্শ বা মাদক চিকিত্সার জন্য বিলম্বিত হওয়া উচিত নয়। যদি আপনার কোনও মেডিকেল বিষয় সম্পর্কে কোনও বিশেষ প্রশ্ন থাকে তবে আপনাকে আপনার পেশাজীবী বা অন্য পেশাগত স্বাস্থ্যসেবা প্রদানকারীকে পরামর্শ করতে হবে। যদি আপনি মনে করেন যে আপনি কোনও মেডিক্যাল শর্ত থেকে সন্তুষ্ট হতে পারেন তবে আপনি তাৎক্ষণিক চিকিৎসা দৃষ্টিভঙ্গি দেখতে পাবেন।
কোন পাটা
এই অ্যাপ দ্বারা সরবরাহিত তথ্য কোনও উপস্থাপনা বা ওয়ারেন্টি ছাড়াই "যেমন আছে" সরবরাহ করা হয়েছে, প্রকাশ করা বা উহ্য। ECLECKTIC GOODIES INC এই অ্যাপটিতে চিকিৎসা বা অন্যান্য তথ্য সম্পর্কিত কোন উপস্থাপনা বা ওয়ারেন্টি দেয় না।
ECLECKTIC GOODIES INC যে warrant না:
- এই অ্যাপ্লিকেশন দ্বারা সরবরাহিত তথ্য ক্রমাগত পাওয়া যাবে, অথবা সব পাওয়া যাবে;
অথবা
- এই অ্যাপ্লিকেশন দ্বারা সরবরাহিত তথ্য সম্পূর্ণ, সত্য, সঠিক, আপ টু ডেট, বা অ-বিভ্রান্তিকর।
ECLECKTIC GOODIES INC কোনও পরামর্শ, চিকিৎসা, রোগবিদ্যা বা অন্য কোন তথ্য, পরিষেবা বা পণ্য যা আপনি এই অ্যাপ্লিকেশনটি ব্যবহার করে অর্জনের জন্য দায়বদ্ধ বা দায়বদ্ধ নন।
অ্যাপ্লিকেশন ব্যবহার করে অ্যাপ্লিকেশন ডাউনলোড করে আপনি স্বীকার করেছেন যে:
- আপনি এই মেডিক্যাল ডিসক্লেমারটি বুঝতে পেরেছেন।
- আপনি এই মেডিক্যাল ডিসক্লেমারের সাথে একমত।
- আপনি এই মেডিক্যাল ডিসক্লেমার দ্বারা আইনগতভাবে সম্মত হন, যা অ্যাপ্লিকেশনটি ডাউনলোড করার পরে অবিলম্বে প্রভাব ফেলবে।
আপনি যদি এই মেডিক্যাল ডিসক্লেমার দ্বারা আইনগতভাবে সম্মত হন না হন তবে আপনি অ্যাপটি অ্যাক্সেস করতে পারবেন না, আপনার নামটি APP এর অধীনে নিবন্ধন করুন বা অ্যাপ্লিকেশনটি ব্যবহার করুন।
What's new in the latest 8.0.0
AHA 17 SEGMENT INTERACTIVE HEA APK Information
AHA 17 SEGMENT INTERACTIVE HEA এর পুরানো সংস্করণ
AHA 17 SEGMENT INTERACTIVE HEA 8.0.0
AHA 17 SEGMENT INTERACTIVE HEA 6.0.0
APKPure অ্যাপের মাধ্যমে অতি দ্রুত এবং নিরাপদ ডাউনলোড করা হচ্ছে
Android-এ XAPK/APK ফাইল ইনস্টল করতে এক-ক্লিক করুন!






