AHA 17 SEGMENT INTERACTIVE HEA 정보
신속 AHA 17 세그먼트 심장 모델을 배우고, 모든 학생들을 에코 필수!
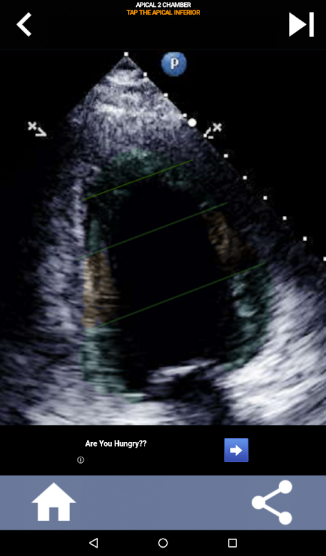
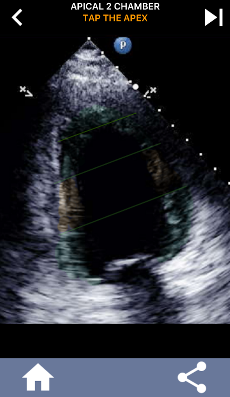
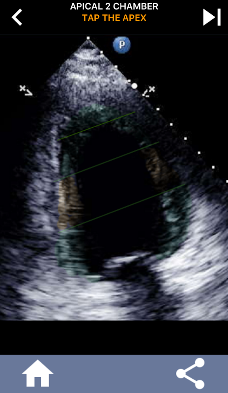
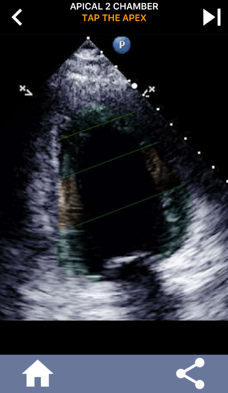
초음파 심장 초음파 검사는 좌심실의 미국 심장 협회 심장 세분화를 자기 공명 영상, 심장 핵 검사 등과 같은 다른 많은 영상 진단법에서 널리 사용되는 표준 인 17 개 세그먼트로 학습하는 것이 필수적입니다. 영향을받는 세그먼트 및 기능의. 여러 번 에코를 읽는 사람이 "무엇을 보았습니까?"라고 묻습니다. 영향을받은 지역의 정확한 위치로 회신하는 것이 예상됩니다.
이 응용 프로그램은 AHA로 구분 된 심근을 보여주는 모든 반향보기를 포함하고 올바른 부분을 탭하도록 퀴즈 것입니다. 나는 개인적으로 빨리 반복적 인 퀴즈가 나를 위해 가장 잘 작동한다는 것을 알았다. 나는 주제를 빨리 배우고 암기해야한다. 당신이 에코 / TTE를 공부하는 초음파 학생이라면, 이것은 당신의 연구에 훌륭한 보완책이 될 것이라고 생각합니다.
YouTube 동영상 링크를보고 앱이 실제로 작동하는지 확인하십시오.
APP 면책 조항
조언 없음
이 앱 ( '앱')은 정보 만 제공하며 의료 또는 치료 조언이 아니며 사용자가 해당 정보를 처리 할 수 없습니다. 따라서이 앱은 의료 진단이나 의료 또는 치료를위한 추천 용도로 사용해서는 안됩니다. 이 응용 프로그램에 대한 정보는 전문적인 의학적 조언, 진단 또는 치료를 대신하지 않습니다. 이 응용 프로그램에 포함되어 있거나이 응용 프로그램을 통해 사용할 수있는 텍스트, 그래픽, 이미지 및 정보를 포함한 모든 내용은 일반적인 정보 목적으로 만 사용됩니다
신뢰감 없음
귀하는 의학적 치료를위한 진단 또는 권고에 대해이 APP를 사용하여 얻은 정보에 절대로 의지하지 않아야합니다. 귀하는 귀하의 의사 또는 다른 전문 의료 제공자로부터의 의료 조언 대신 본 APP로부터받은 정보에 절대로 의지하지 않아야합니다.
이 앱을 통해 보거나 액세스 한 정보로 인해 전문가의 의료 조언이나 의사의 진찰을 지연해서는 안됩니다. 의사와 관련하여 특별한 의문 사항이 있으면 담당 의사 또는 다른 전문 의료진에게 문의해야합니다. 귀하가 어떠한 의학적 상태로 인해 어려움을 겪을 지 모른다면 즉시 의학적주의를 기울여야합니다.
보증 없음
이 응용 프로그램에서 제공하는 정보는 명시 적 또는 묵시적 진술이나 보증없이 "있는 그대로"제공됩니다. ECLECKTIC GOODIES INC는이 응용 프로그램의 의료 정보 또는 기타 정보와 관련하여 어떠한 진술이나 보증도하지 않습니다.
ECLECKTIC GOODIES INC는 다음을 보증하지 않습니다.
-이 응용 프로그램에서 제공하는 정보는 지속적으로 사용할 수 있거나 전혀 사용할 수 없습니다.
또는
-이 응용 프로그램에서 제공하는 정보는 완전하고 사실이며 정확하며 최신이거나 오도하지 않는 정보입니다.
ECLECKTIC GOODIES INC는이 APP의 사용을 통해 얻은 조언, 치료 과정, 진단 또는 기타 정보, 서비스 또는 제품에 대해 책임을지지 않습니다.
appyou를 사용하여 앱을 다운로드하면 다음을 인정합니다.
-이 의료 면책 조항을 읽었습니다.
- 귀하는이 의료 면책 조항에 동의합니다.
- 귀하는이 의료 거부자의 법적 구속을받는 것에 동의하며,이 신청인은 APP를 즉시 다운로드 할 수 있습니다.
이 의료 부인의 법적 구속을받는 것에 동의하지 않으면 귀하는 앱에 액세스하거나 귀하의 이름으로 앱을 등록하거나 앱을 사용할 수 없습니다.






