AHA 17 SEGMENT INTERACTIVE HEA
20.4 MB
Tamaño de archivo
Everyone
Android 5.0+
Android OS
Acerca del AHA 17 SEGMENT INTERACTIVE HEA
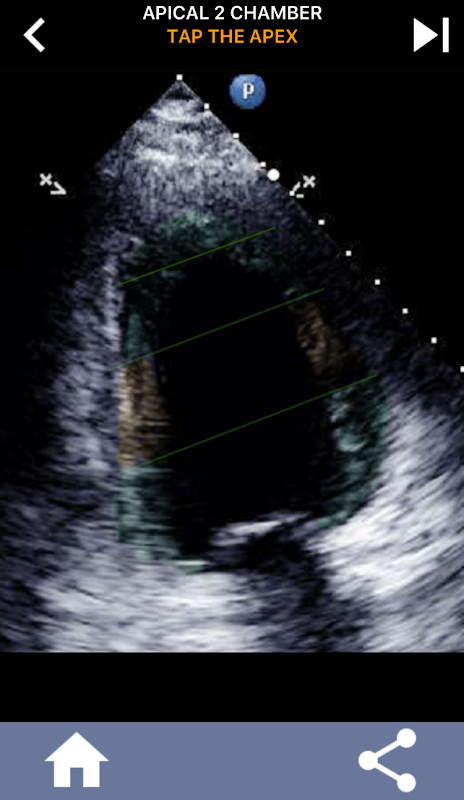
aprender rápidamente el modelo de corazón 17 segmento de la AHA, esencial para todos los estudiantes eco!
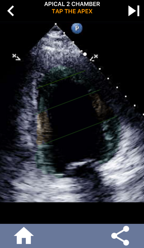
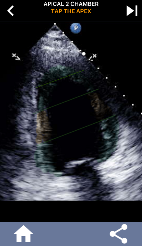
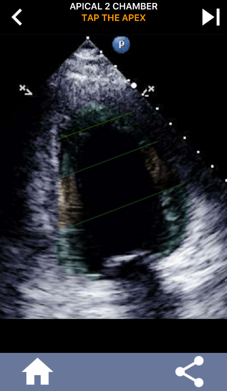
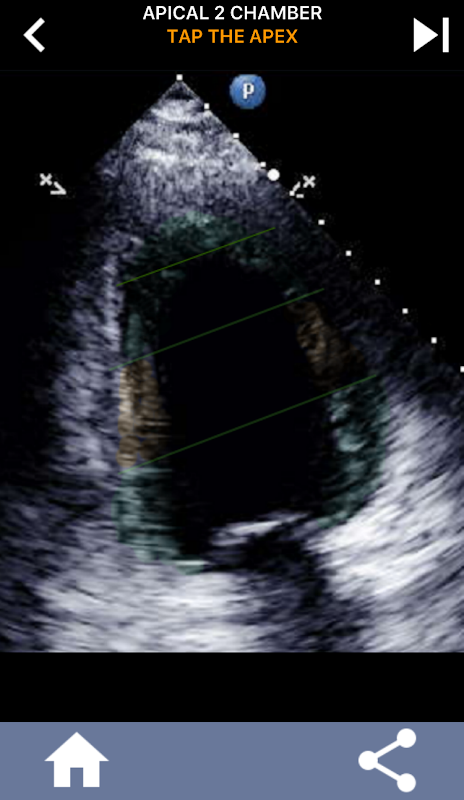
Es esencial que los ecocardiógrafos de ultrasonido aprendan la segmentación cardíaca del ventrículo izquierdo de la Asociación Estadounidense del Corazón en 17 segmentos, que es el estándar ampliamente utilizado por muchas otras modalidades de imagen, como la resonancia magnética, las pruebas nucleares cardíacas, etc. Para describir la ubicación. De los segmentos y función afectados. Muchas veces la persona que lee tu eco preguntará "¿qué viste?" y responder con una ubicación exacta del área afectada es lo que se espera.
Esta aplicación contiene todas las vistas de eco que muestran el miocardio segmentado AHA y le pedirá que toque el segmento correcto. Personalmente, encuentro que las pruebas repetitivas funcionan mejor para mí cuando necesito aprender / memorizar rápidamente el tema. Si usted es un estudiante de ultrasonido que estudia eco / TTE, creo que este sería un excelente complemento para sus estudios.
Eche un vistazo al enlace de video de YouTube para ver la aplicación en acción.
RENUNCIA A LA APLICACIÓN
Ningún consejo
Esta aplicación ("Aplicación") proporciona solo información, no es un consejo médico o de tratamiento y no puede ser tratada como tal por el usuario. Como tal, no se puede confiar en esta aplicación para fines de diagnóstico médico o como recomendación para atención o tratamiento médico. La información en esta aplicación no es un sustituto del consejo, diagnóstico o tratamiento médico profesional. Todo el contenido, incluido texto, gráficos, imágenes e información, contenido en o disponible a través de esta Aplicación es solo para fines de información general
Sin confianza
NUNCA DEBE CONFIAR EN NINGUNA INFORMACIÓN OBTENIDA EN EL USO DE ESTA APLICACIÓN PARA CUALQUIER DIAGNÓSTICO O RECOMENDACIÓN PARA EL TRATAMIENTO MÉDICO. NUNCA DEBE CONFIAR EN LA INFORMACIÓN RECIBIDA DE ESTA APLICACIÓN COMO ALTERNATIVA AL ASESORAMIENTO MÉDICO DE SU MÉDICO O DE OTRO PROVEEDOR DE ATENCIÓN MÉDICA PROFESIONAL.
NUNCA DEJAR EL ASESORAMIENTO MÉDICO PROFESIONAL O DEMORAR BUSCAR TRATAMIENTO MÉDICO COMO RESULTADO DE CUALQUIER INFORMACIÓN QUE HA VISTO O ACCEDIDO A TRAVÉS DE ESTA APLICACIÓN. SI TIENE ALGUNA PREGUNTA ESPECÍFICA SOBRE ALGUNA MATERIA MÉDICA, DEBE CONSULTAR A SU MÉDICO OA OTRO PROVEEDOR DE ATENCIÓN MÉDICA PROFESIONAL. SI CREE QUE PODRÍA ESTAR SUFRIR DE CUALQUIER CONDICIÓN MÉDICA, DEBE BUSCAR ATENCIÓN MÉDICA INMEDIATA.
Sin garantía
La información proporcionada por esta Aplicación se proporciona "tal cual" sin ninguna representación o garantía, expresa o implícita. ECLECKTIC GOODIES INC no ofrece representaciones ni garantías en relación con la información médica u otra información contenida en esta Aplicación.
ECLECKTIC GOODIES INC no garantiza que:
- La información proporcionada por esta aplicación estará constantemente disponible, o estará disponible para todos;
o
- La información proporcionada por esta aplicación es completa, verdadera, precisa, actualizada o no engañosa.
ECLECKTIC GOODIES INC NO ES RESPONSABLE O RESPONSABLE DE NINGÚN CONSEJO, CURSO DE TRATAMIENTO, DIAGNÓSTICO O CUALQUIER OTRA INFORMACIÓN, SERVICIOS O PRODUCTOS QUE USTED OBTENGA A TRAVÉS DEL USO DE ESTA APLICACIÓN.
Al descargar la aplicación usando la aplicación, has reconocido que:
- USTED HA LEÍDO ENTENDER ESTE AVISO LEGAL MÉDICO.
- USTED ACEPTA ESTA RECLAMACIÓN MÉDICA.
- USTED ACEPTA ESTAR LEGALMENTE OBLIGADO POR ESTE AVISO LEGAL, QUE DEBERÁ TENER EFECTO INMEDIATO DESPUÉS DE DESCARGAR LA APLICACIÓN.
SI NO ACEPTA ESTAR OBLIGADO LEGALMENTE POR ESTE AVISO LEGAL, NO PUEDE ACCEDER A LA APLICACIÓN, REGISTRAR LA APLICACIÓN BAJO SU NOMBRE O UTILIZAR LA APLICACIÓN.
Novedades más recientes 8.0.0
Información de AHA 17 SEGMENT INTERACTIVE HEA APK
Versiones Antiguas de AHA 17 SEGMENT INTERACTIVE HEA
AHA 17 SEGMENT INTERACTIVE HEA 8.0.0
AHA 17 SEGMENT INTERACTIVE HEA 6.0.0
Descarga rápida y segura a través de APKPure App
¡Un clic para instalar archivos XAPK/APK en Android!






