عن AHA 17 SEGMENT INTERACTIVE HEA
تعلم بسرعة AHA 17 قطعة نموذج القلب، من الضروري لجميع صدى الطلاب!
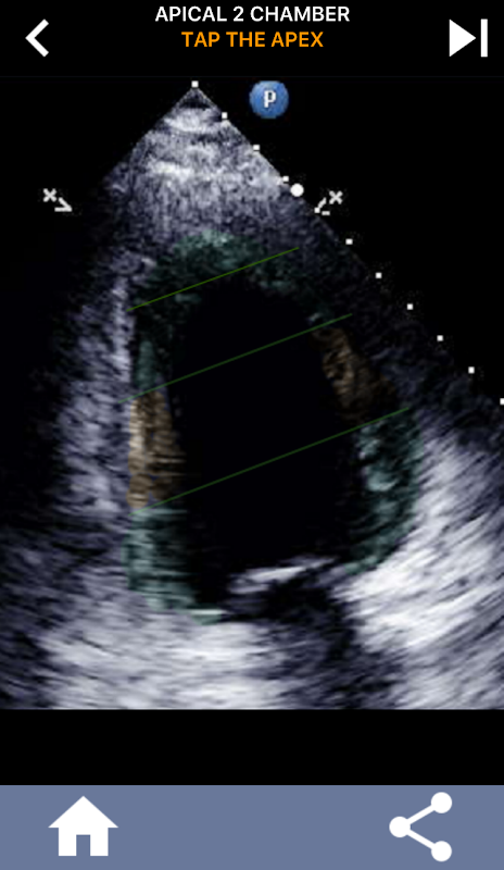
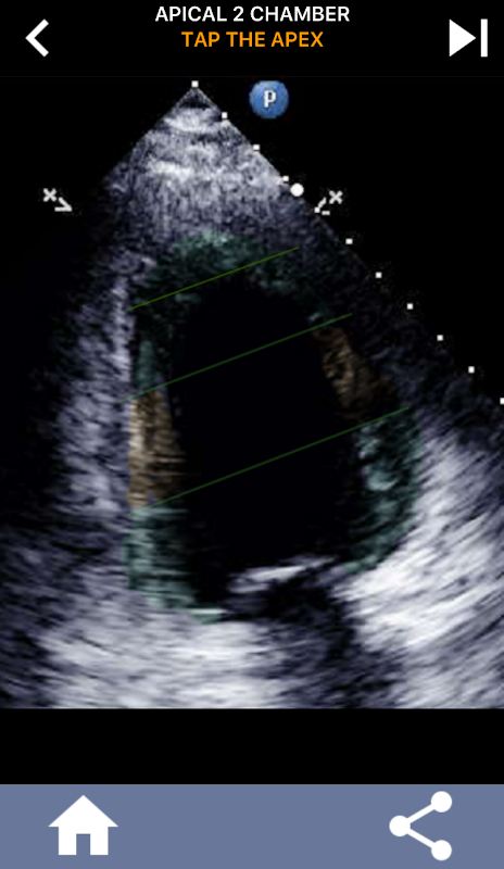
من الضروري أن يتعلم مخطّط ضربات القلب بالموجات فوق الصوتية تجزئة القلب من جمعية القلب الأمريكية من البطين الأيسر إلى 17 قطعة وهو المعيار المستخدم على نطاق واسع من قبل العديد من طرائق التصوير الأخرى مثل التصوير بالرنين المغناطيسي والاختبارات النووية للقلب وما إلى ذلك. من الشرائح المتضررة وظيفة. في كثير من الأحيان يسأل الشخص الذي يقرأ صدى "ماذا رأيت؟" والرد مع الموقع الدقيق للمنطقة المتأثرة هو ما هو متوقع.
يحتوي هذا التطبيق على جميع طرق عرض الصدى التي تُظهر عضلة القلب المفصَّلة AHA وسيختبرك للاستفادة من الجزء الصحيح. أنا شخصيا أجد أن الاختبارات المتكررة تعمل بشكل أفضل بالنسبة لي عندما أحتاج إلى تعلم / حفظ الموضوع بسرعة. إذا كنت طالبًا بالموجات فوق الصوتية يدرس الارتداد / أعتقد أن هذا سيكون مكملاً ممتازًا لدراستك.
ألقِ نظرة على رابط فيديو youtube لمشاهدة التطبيق قيد التنفيذ
تنصل APP
لا نصيحة
يوفر هذا التطبيق ("التطبيق") المعلومات فقط ، وليس نصيحة طبية أو نصيحة علاجية ، وقد لا يعامله المستخدم على هذا النحو. على هذا النحو ، قد لا يتم الاعتماد على هذا التطبيق لأغراض التشخيص الطبي أو كتوصية للرعاية الطبية أو العلاج. المعلومات الواردة في هذا التطبيق ليست بديلاً عن المشورة الطبية المتخصصة أو التشخيص أو العلاج. جميع المحتويات ، بما في ذلك النصوص والرسومات والصور والمعلومات ، الموجودة أو المتاحة من خلال هذا التطبيق هي لأغراض المعلومات العامة فقط
لا الاعتماد
يجب ألا تعتمد مطلقًا على أي معلومات تم الحصول عليها باستخدام هذا التطبيق لأي تشخيص أو توصية للعلاج الطبي. يجب ألا تعتمد مطلقًا على المعلومات التي يتم الحصول عليها من هذا التطبيق كبديل عن المشورة الطبية من طبيبك أو من مزود الرعاية الصحية المهنية.
يجب ألا تتجاهل مشورة طبية مهنية أو تتأخر في التماس علاج طبي كنتيجة لأي معلومات رأيتها أو وصلت إليها من خلال هذا التطبيق. إذا كان لديك أي أسئلة محددة حول أي مسألة طبية ، يجب عليك استشارة طبيبك أو غيره من مقدمي الرعاية الصحية المهنية. إذا كنت تعتقد أنك قد تعاني من أي حالة طبية يجب أن تسعى إلى عناية طبية فورية.
بدون كفالة
يتم توفير المعلومات التي يقدمها هذا التطبيق "كما هي" دون أي إقرارات أو ضمانات ، صريحة أو ضمنية. ECLECKTIC GOODIES INC لا تقدم أي تعهدات أو ضمانات فيما يتعلق بالمعلومات الطبية أو غيرها من المعلومات في هذا التطبيق.
لا تضمن شركة ECLECKTIC GOODIES INC ما يلي:
- المعلومات المقدمة من هذا التطبيق ستكون متاحة باستمرار ، أو متوفرة على الإطلاق.
أو
- المعلومات التي يقدمها هذا التطبيق كاملة أو حقيقية أو دقيقة أو محدثة أو غير مضللة.
لا تتحمل شركة ECLECKTIC GOODIES INC أي مسؤولية أو مشورة عن أي مشورة أو دورة علاج أو تشخيص أو أي معلومات أخرى أو خدمات أو منتجات تحصل عليها من خلال استخدام هذا التطبيق.
عن طريق تنزيل التطبيق باستخدام التطبيق ، اعترفت بما يلي:
- لقد قرأت فهم هذا التنصل الطبي.
- أنت توافق على هذا التنازل الطبي.
- أنت توافق على الالتزام القانوني بهذا الإخلاء الطبي ، الذي يجب أن يكون له تأثير فورًا عند تنزيل التطبيق.
إذا لم توافق على الالتزام القانوني بهذا الإخلاء الطبي ، فلا يجوز لك الوصول إلى التطبيق أو تسجيل التطبيق باسمك أو استخدام التطبيق
What's new in the latest 8.0.0
معلومات AHA 17 SEGMENT INTERACTIVE HEA APK
الإصدارات القديمة لـ AHA 17 SEGMENT INTERACTIVE HEA
AHA 17 SEGMENT INTERACTIVE HEA 8.0.0
AHA 17 SEGMENT INTERACTIVE HEA 6.0.0
قم بتنزيل سريع وآمن بالغاية عبر تطبيق APKPure
قم بتثبيت ملفات XAPK/APK بنقرة واحدة على أندرويد!






