Mengenai AHA 17 SEGMENT INTERACTIVE HEA
Cepat belajar AHA model jantung 17 segmen, penting untuk SEMUA echo pelajar!
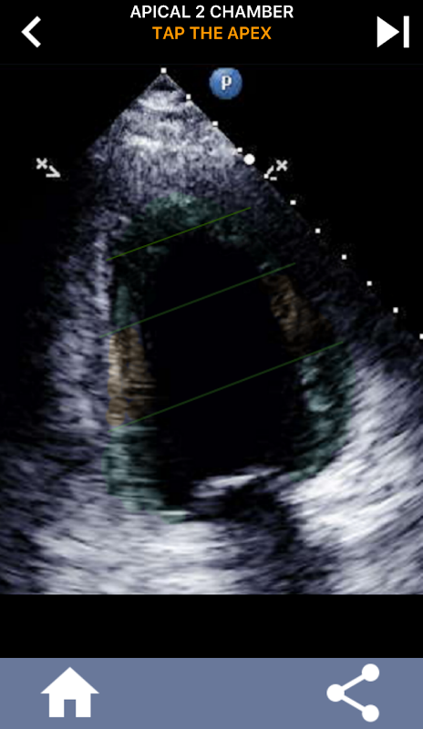
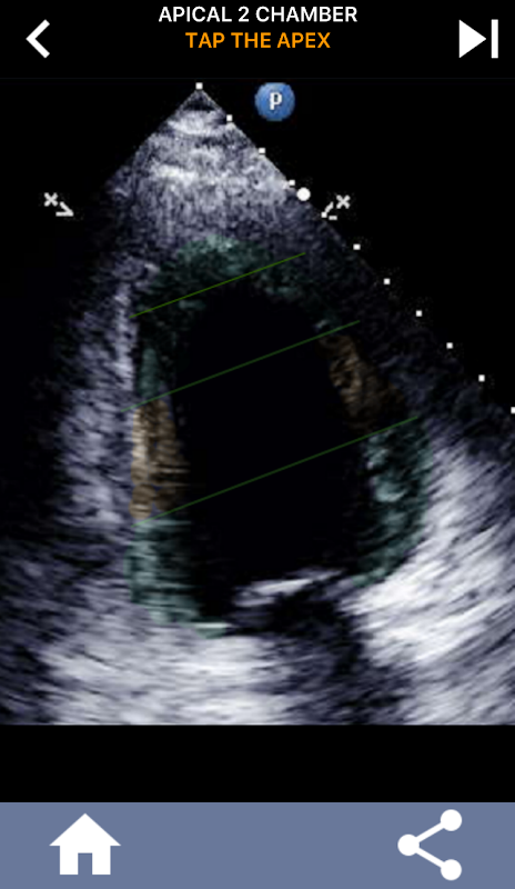
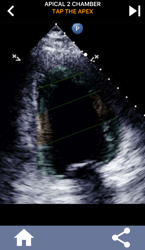
Adalah penting bagi ekokardiografer ultrasound untuk mempelajari segmen hati jantung Persatuan Amerika di ventrikel kiri ke 17 segmen yang merupakan standard yang digunakan secara meluas oleh modaliti pengimejan lain seperti pengimejan resonans magnetik, ujian nuklear jantung, dll ... untuk menggambarkan lokasi segmen dan fungsi yang terjejas. Ramai kali orang yang membaca gema anda akan bertanya "apa yang anda lihat?" dan menjawab dengan tepat lokasi yang terjejas adalah apa yang diharapkan.
Aplikasi ini mengandungi semua pandangan gema yang menunjukkan AHA dibahagikan kepada miokardium dan akan kuiz anda untuk mengetuk segmen yang betul. Saya secara peribadi mendapati bahawa kuiz berulang-ulang berfungsi paling baik untuk saya apabila saya perlu cepat belajar / menghafal subjek. Jika anda seorang pelajar USG yang belajar echo / TTE saya fikir ini akan menjadi pelengkap yang sangat baik untuk pelajaran anda.
Lihatlah pautan video youtube untuk melihat aplikasi dalam tindakan
PENAFIAN APP
Tiada nasihat
Aplikasi ini ("App") memberikan maklumat sahaja, bukan nasihat perubatan atau rawatan dan mungkin tidak diperlakukan demikian oleh pengguna. Oleh itu, App ini tidak boleh dipercayai untuk tujuan diagnosis perubatan atau sebagai cadangan untuk penjagaan perubatan atau rawatan. Maklumat mengenai App ini bukan pengganti nasihat perubatan, diagnosis atau rawatan profesional. Semua kandungan, termasuk teks, grafik, imej dan maklumat, yang terdapat pada atau tersedia melalui Aplikasi ini adalah untuk tujuan maklumat umum sahaja
Tiada Reliance
ANDA MESTI TIDAK PERLU MENGENAI MAKLUMAT APAPUN YANG MENGGUNAKAN MENGGUNAKAN APP INI UNTUK SEBARANG DIAGNOSIS ATAU CADANGAN UNTUK RAWATAN PERUBATAN. ANDA MESTI TIDAK PERLU MENGENAI MAKLUMAT YANG DITERIMA DARIPADA APP INI SEBAGAI ALTERNATIF KEPADA PEMAKANAN PERUBATAN DARI PROVIDER KESIHATAN FIZIKA ATAU PROFESIONAL LAINNYA.
ANDA MESTI TIDAK PERNAH MENYILEKKAN KEGANAKAN PERUBATAN PROFESIONAL ATAU TEMPOH MEMENUHI RAWATAN PERUBATAN SEBAGAI HASIL DENGAN MAKLUMAT YANG ANDA TELAH MELIHAT DENGAN ATAU DENGAN MELAKUKAN MELALUI APP INI. JIKA ANDA MEMILIKI PERTANYAAN-PERTANYAAN YANG KHUSUS TENTANG APA-APA PERUBATAN PERUBATAN ANDA HARUS MENJALANKAN PENYAKIT KESIHATAN FIZIKAL ATAU PROFESIONAL LAINNYA. JIKA ANDA Fikirkan ANDA MUNGKIN MENARIK DARIPADA KONDISI PERUBATAN YANG ANDA HARUS MEMERLUKAN PERHATIAN PERUBATAN.
Tiada Waranti
Maklumat yang diberikan oleh Aplikasi ini disediakan "sebagaimana adanya" tanpa apa-apa representasi atau jaminan, nyata atau tersirat. ECLECKTIC GOODIES INC tidak membuat sebarang representasi atau jaminan berhubung dengan perubatan atau maklumat lain dalam App ini.
ECLECKTIC GOODIES INC tidak menjamin bahawa:
- Maklumat yang disediakan oleh Aplikasi ini akan sentiasa tersedia, atau tersedia pada semua;
atau
- Maklumat yang disediakan oleh Aplikasi ini adalah lengkap, benar, tepat, terkini, atau tidak mengelirukan.
ECLECKTIC GOODIES INC TIDAK BERTANGGUNGJAWAB ATAU TANGGUNGAN BAGI APA-APA NASIHAT, KERJA RAWATAN, DIAGNOSIS ATAU SEBARANG MAKLUMAT LAIN, PERKHIDMATAN ATAU PRODUK YANG ANDA MEMBUAT MELALUI PENGGUNAAN APP INI.
Dengan memuat turun aplikasi menggunakan aplikasi yang anda telah mengakui bahawa:
- ANDA SEMAKIN BACA PENTINGKAN PENAFIAN PERUBATAN INI.
- ANDA BERSETUJU DENGAN PENAFIAN PERUBATAN INI.
- ANDA BERSETUJU UNTUK MENJADI AKAN BERDASARKAN DENGAN PENAFIAN PERUBATAN INI, YANG AKAN MENGGUNAKAN KESAN SEGERA DENGAN MENGGUNAKAN APP.
JIKA ANDA JANGAN BERSETUJU UNTUK MENJADI HUKUMAN DENGAN PENAFIAN PERUBATAN INI, ANDA MUNGKIN TIDAK AKSES APP, DAFTAR APP PADA NAMA ANDA, ATAU MENGGUNAKAN APP.
What's new in the latest 8.0.0
Maklumat APK AHA 17 SEGMENT INTERACTIVE HEA
Versi lama AHA 17 SEGMENT INTERACTIVE HEA
AHA 17 SEGMENT INTERACTIVE HEA 8.0.0
AHA 17 SEGMENT INTERACTIVE HEA 6.0.0
Muat Turun Super Pantas dan Selamat melalui Apl APKPure
Satu klik untuk memasang fail XAPK/APK pada Android!






