AHA 17 SEGMENT INTERACTIVE HEA
20.4 MB
Dung lượng tệp
Everyone
Android 5.0+
Android OS
Giới thiệu về AHA 17 SEGMENT INTERACTIVE HEA
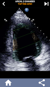
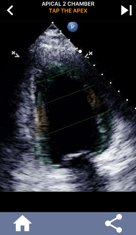
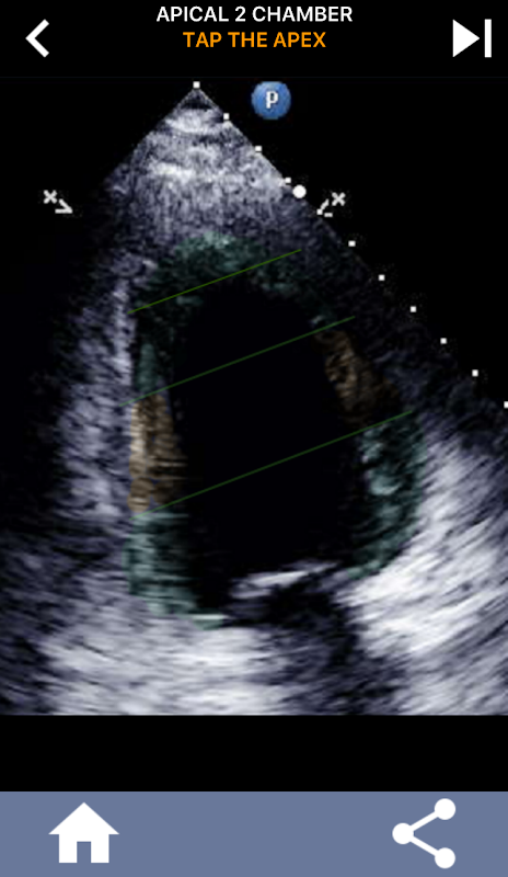
Nhanh chóng tìm hiểu các AHA 17 phân khúc mô hình trái tim, rất cần thiết cho tất cả sinh viên tiếng vang!
Điều cần thiết đối với các nhà siêu âm tim siêu âm là tìm hiểu phân đoạn tim của Hiệp hội Tim mạch Hoa Kỳ của tâm thất trái thành 17 phân đoạn, là tiêu chuẩn được sử dụng rộng rãi bởi nhiều phương thức hình ảnh khác như chụp cộng hưởng từ, xét nghiệm hạt nhân tim, v.v ... để mô tả vị trí của các phân khúc và chức năng bị ảnh hưởng. Nhiều lần người đọc tiếng vang của bạn sẽ hỏi "bạn đã thấy gì?" và trả lời với một vị trí chính xác của khu vực bị ảnh hưởng là những gì được mong đợi.
Ứng dụng này chứa tất cả các chế độ xem tiếng vang hiển thị cơ tim được phân đoạn AHA và sẽ đố bạn gõ đúng phân khúc. Cá nhân tôi thấy rằng câu đố lặp đi lặp lại hoạt động tốt nhất cho tôi khi tôi cần học nhanh / ghi nhớ môn học. Nếu bạn là một sinh viên siêu âm học tiếng vang / TTE tôi nghĩ rằng đây sẽ là một bổ sung tuyệt vời cho việc học của bạn.
Hãy xem liên kết video youtube để thấy ứng dụng hoạt động
TUYÊN BỐ TỪ CHỐI
Không có lời khuyên
Ứng dụng này (Ứng dụng trực tuyến) Chỉ cung cấp thông tin, không phải là lời khuyên y tế hoặc điều trị và người dùng không thể đối xử như vậy. Do đó, Ứng dụng này có thể không dựa vào mục đích chẩn đoán y tế hoặc như một khuyến nghị cho chăm sóc y tế hoặc điều trị. Thông tin trên Ứng dụng này không thay thế cho tư vấn, chẩn đoán hoặc điều trị y tế chuyên nghiệp. Tất cả nội dung, bao gồm văn bản, đồ họa, hình ảnh và thông tin, có trên hoặc có sẵn thông qua Ứng dụng này chỉ nhằm mục đích thông tin chung
Không phụ thuộc
BẠN PHẢI KHÔNG BAO GIỜ LIÊN QUAN ĐẾN BẤT K INFORMATION THÔNG TIN NÀO ĐƯỢC SỬ DỤNG ỨNG DỤNG NÀY CHO BẤT K CH CHẨN ĐOÁN NÀO HOẶC KIẾN NGHỊ ĐỂ ĐIỀU TRỊ Y TẾ. BẠN PHẢI KHÔNG BAO GIỜ LIÊN QUAN ĐẾN THÔNG TIN NHẬN ĐƯỢC TỪ ỨNG DỤNG NÀY NHƯ THẾ NÀO ĐỂ ĐƯỢC TƯ VẤN Y TẾ TỪ NHÀ CUNG CẤP Y TẾ CỦA BẠN HOẶC NGƯỜI CUNG CẤP SỨC KHỎE CHUYÊN NGHIỆP KHÁC.
BẠN PHẢI KHÔNG BAO GIỜ ĐƯỢC TƯ VẤN Y TẾ CHUYÊN NGHIỆP HOẶC TRÌ HOÃN TÌM KIẾM ĐIỀU TRỊ Y TẾ NHƯ KẾT QUẢ BẤT CỨ THÔNG TIN NÀO BẠN ĐÃ XEM TRÊN HOẶC TRUY CẬP QUA ỨNG DỤNG NÀY. NẾU BẠN CÓ BẤT K QU CÂU HỎI CỤ THỂ NÀO VỀ BẤT K MAT VẤN ĐỀ Y TẾ NÀO BẠN NÊN TƯ VẤN VẬT LÝ CỦA BẠN HOẶC NHÀ CUNG CẤP SỨC KHỎE CHUYÊN NGHIỆP KHÁC. NẾU BẠN NGHINK BẠN CÓ THỂ BẮT ĐẦU TỪ BẤT K CON ĐIỀU KIỆN Y TẾ NÀO BẠN NÊN XEM NGAY LẬP TỨC Y TẾ.
Không bảo hành
Thông tin được cung cấp bởi Ứng dụng này được cung cấp trên mạng như là mà không có bất kỳ sự đại diện hay bảo đảm nào, rõ ràng hay ngụ ý. ECLECKTIC GOODIES INC không tuyên bố hay bảo đảm liên quan đến thông tin y tế hoặc thông tin khác trong Ứng dụng này.
ECLECKTIC GOODIES INC không đảm bảo rằng:
- Thông tin được cung cấp bởi Ứng dụng này sẽ liên tục có sẵn hoặc hoàn toàn có sẵn;
hoặc là
- Thông tin được cung cấp bởi Ứng dụng này là đầy đủ, trung thực, chính xác, cập nhật hoặc không gây hiểu lầm.
ECLECKTIC GOODIES INC KHÔNG CHỊU TRÁCH NHIỆM HOẶC TRÁCH NHIỆM CHO BẤT K ADV LỜI KHUYÊN NÀO, KHÓA HỌC ĐIỀU TRỊ, CHẨN ĐOÁN HOẶC BẤT K INFORMATION THÔNG TIN, DỊCH VỤ NÀO KHÁC
Bằng cách tải xuống ứng dụng bằng ứng dụng, bạn đã thừa nhận rằng:
- BẠN ĐÃ ĐỌC HIỂU TỪ CHỐI Y TẾ NÀY.
- BẠN ĐỒNG Ý VỚI TUYÊN BỐ Y TẾ NÀY.
- BẠN ĐỒNG Ý ĐỂ TRỞ THÀNH PHÁP LÝ B DISCNG CÁCH TUYÊN BỐ Y TẾ NÀY, MÀ CÒN TÌM HIỂU HIỆU QUẢ NGAY LẬP TỨC TẢI XUỐNG ỨNG DỤNG.
NẾU BẠN KHÔNG ĐỒNG Ý ĐỂ TRỞ THÀNH PHÁP LÝ B DISCNG TUYÊN BỐ Y TẾ NÀY, BẠN KHÔNG THỂ TIẾP CẬN ỨNG DỤNG, ĐĂNG KÝ ỨNG DỤNG THEO TÊN CỦA BẠN, HOẶC SỬ DỤNG ỨNG DỤNG.
What's new in the latest 8.0.0
Thông tin APK AHA 17 SEGMENT INTERACTIVE HEA
Phiên bản cũ của AHA 17 SEGMENT INTERACTIVE HEA
AHA 17 SEGMENT INTERACTIVE HEA 8.0.0
AHA 17 SEGMENT INTERACTIVE HEA 6.0.0
Tải xuống siêu nhanh và an toàn thông qua Ứng dụng APKPure
Một cú nhấp chuột để cài đặt các tệp XAPK/APK trên Android!






