Informazioni su AHA 17 SEGMENT INTERACTIVE HEA
imparare rapidamente il modello di cuore 17 segmento AHA, essenziale per tutti gli eco studenti!
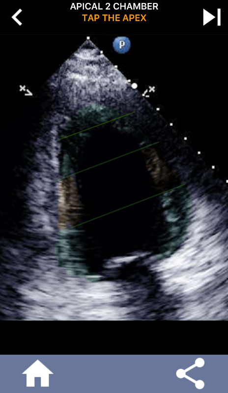
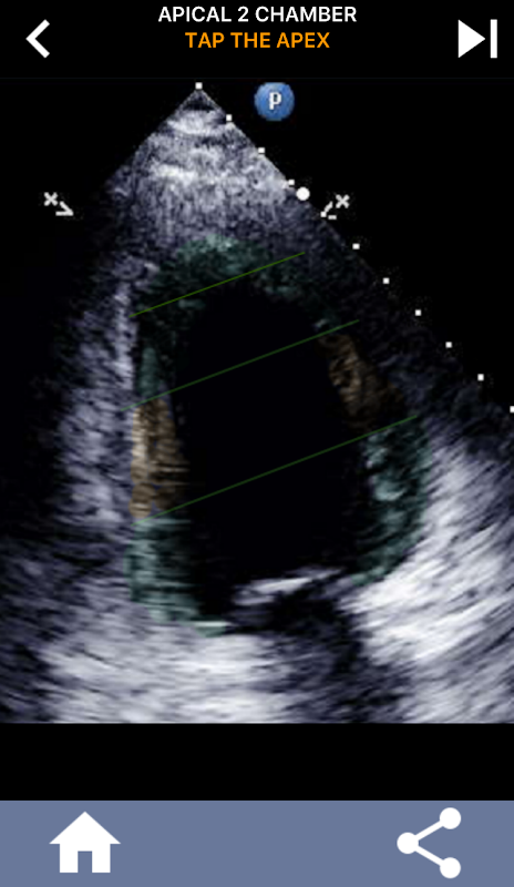
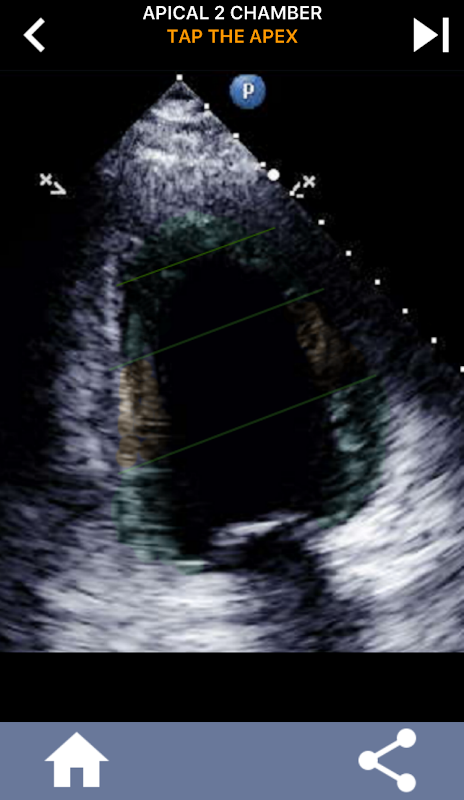
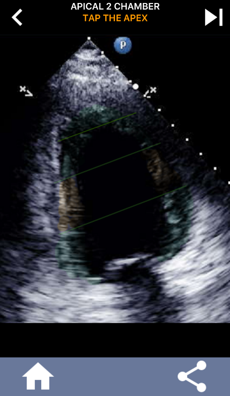
Per gli ecocardiografi ultrasonici è essenziale imparare la segmentazione cardiaca dell'American Heart Association del ventricolo sinistro in 17 segmenti, che è lo standard ampiamente utilizzato da molte altre modalità di imaging come la risonanza magnetica, i test nucleari cardiaci, ecc ... per descrivere la posizione dei segmenti e delle funzioni interessati. Molte volte la persona che legge la tua eco ti chiederà "cosa hai visto?" e rispondere con una posizione esatta dell'area interessata è ciò che ci si aspetta.
Questa app contiene tutte le viste eco che mostrano il miocardio segmentato AHA e ti chiede di toccare il segmento corretto. Personalmente trovo che il quiz ripetitivo funzioni al meglio per me quando ho bisogno di imparare / memorizzare rapidamente l'argomento. Se sei uno studente di ecografia che studia eco / TTE, penso che questo sarebbe un eccellente complemento ai tuoi studi.
Dai un'occhiata al link del video di YouTube per vedere l'app in azione
APP DISCLAIMER
Nessun consiglio
Questa app ("App)" fornisce solo informazioni, non è un consiglio medico o di trattamento e non può essere trattata come tale dall'utente. Come tale, questa App non può essere invocata ai fini della diagnosi medica o come raccomandazione per cure mediche o trattamenti. Le informazioni su questa app non sostituiscono la consulenza medica, la diagnosi o il trattamento professionale. Tutti i contenuti, inclusi testo, grafica, immagini e informazioni, contenuti o disponibili tramite questa App, sono solo a scopo informativo
Nessuna fiducia
NON DEVI MAI FARE AFFIDAMENTO SU QUALUNQUE INFORMAZIONE OTTENUTA UTILIZZANDO QUESTA APP PER QUALUNQUE DIAGNOSI O RACCOMANDAZIONE PER IL TRATTAMENTO MEDICO. NON DEVI MAI AFFIDARE LE INFORMAZIONI RICEVUTE DA QUESTA APP IN QUANTO ALTERNATIVA AI CONSIGLI MEDICI DEL VOSTRO FORNISCE O ALTRO FORNITORE PROFESSIONALE DI ASSISTENZA SANITARIA.
NON DEVI MAI ASSUMERE UN CONSIGLIO MEDICO PROFESSIONALE O UN RITARDO CHE RICHIEDA UN TRATTAMENTO MEDICO A SEGUITO DI QUALSIASI INFORMAZIONE CHE SIA STATA VISUALIZZATA O ACCESSIBILE ATTRAVERSO QUESTA APP. SE AVETE QUALUNQUE DOMANDA SPECIFICA SU QUALSIASI QUESTIONE MEDICA, CONSULTARE IL VOSTRO FORNITORE O ALTRO FORNITORE PROFESSIONALE SANITARIO. SE PENSI DI ESSERE SOFFERENTE DA QUALUNQUE CONDIZIONE MEDICA, DOVRESTI CHIEDERE IMMEDIATAMENTE UN MEDICO.
Nessuna garanzia
Le informazioni fornite da questa App vengono fornite "così come sono" senza alcuna dichiarazione o garanzia, esplicita o implicita. ECLECKTIC GOODIES INC non rilascia alcuna dichiarazione o garanzia in relazione alle informazioni mediche o di altra natura contenute in questa app.
ECLECKTIC GOODIES INC non garantisce che:
- Le informazioni fornite da questa App saranno costantemente disponibili o disponibili a tutti;
o
- Le informazioni fornite da questa App sono complete, veritiere, accurate, aggiornate o non fuorvianti.
ECLECKTIC GOODIES INC NON È RESPONSABILE O RESPONSABILE DI QUALSIASI CONSIGLIO, CORSO DI TRATTAMENTO, DIAGNOSI O ALTRE INFORMAZIONI, SERVIZI O PRODOTTI OTTENUTI TRAMITE L'USO DI QUESTA APP.
Scaricando l'app utilizzando l'app hai riconosciuto che:
- HAI LETTO A COMPRENDERE QUESTA ESCLUSIONE MEDICA.
- L'UTENTE ACCETTA CON QUESTA ESCLUSIONE MEDICA.
- L'UTENTE ACCETTA DI ESSERE LEGALMENTE VINCOLATO DA QUESTA ESCLUSIONE MEDICA, CHE EFFETTUA IMMEDIATAMENTE PRIMA DI SCARICARE L'APP.
SE NON SI ACCETTA DI ESSERE LEGALMENTE VINCOLATO DA QUESTA ESCLUSIONE DI RESPONSABILITÀ MEDICA, NON È POSSIBILE ACCEDERE ALLA APP, REGISTRARE L'APP SOTTO IL TUO NOME O UTILIZZARE L'APP.
What's new in the latest 8.0.0
Informazioni sull'APK AHA 17 SEGMENT INTERACTIVE HEA
Vecchie versioni di AHA 17 SEGMENT INTERACTIVE HEA
AHA 17 SEGMENT INTERACTIVE HEA 8.0.0
AHA 17 SEGMENT INTERACTIVE HEA 6.0.0
Download super veloce e sicuro tramite l'app APKPure
Basta un clic per installare i file XAPK/APK su Android!






