AHA 17 SEGMENT INTERACTIVE HEA
20.4 MB
Bestandsgrootte
Everyone
Android 5.0+
Android OS
Over AHA 17 SEGMENT INTERACTIVE HEA
Snel leren het AHA 17 segment hart model, van essentieel belang voor ALLE echo studenten!
Het is van essentieel belang voor echocardiografen met ultrasound om de hartsegmentatie van het hart van de American Heart Association in 17 segmenten te leren, wat de standaard is die veel wordt gebruikt door vele andere beeldvormingsmodaliteiten zoals magnetische resonantiebeeldvorming, nucleaire kerntests, enz ... om de locatie te beschrijven van de getroffen segmenten en functie. Vaak vraagt de persoon die je echo leest, "wat heb je gezien?" en antwoorden met een exacte locatie van het getroffen gebied is wat wordt verwacht.
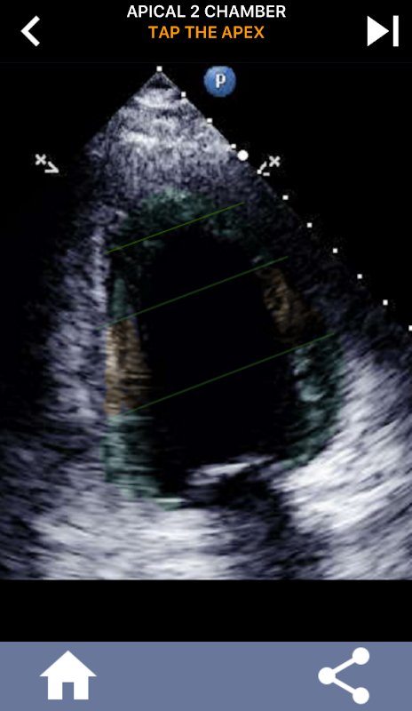
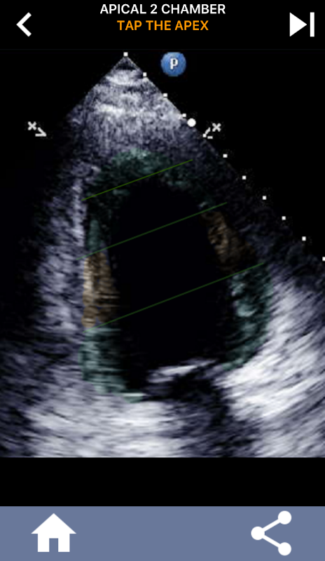
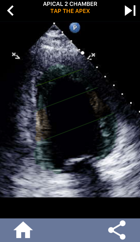
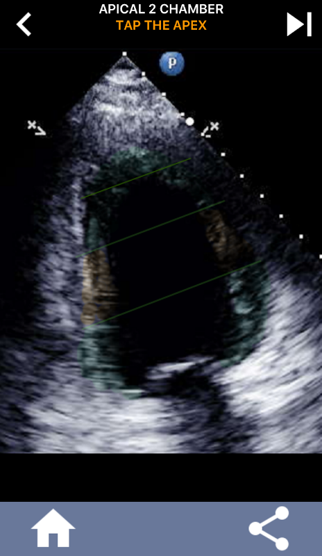
Deze app bevat alle echoviews die het AHA-gesegmenteerde myocardium tonen en zal je vragen het juiste segment te tikken. Persoonlijk vind ik dat repetitieve quizzing het beste werkt voor mij als ik het onderwerp snel moet leren / onthouden. Als je een echografie-student bent die echo / TTE studeert, denk ik dat dit een uitstekende aanvulling op je studie zou zijn.
Bekijk de youtube-videolink om de app in actie te zien
APP DISCLAIMER
Geen advies
Deze app ("App)" biedt alleen informatie, is geen medisch of behandeladvies en mag door de gebruiker niet als zodanig worden behandeld. Als zodanig kan op deze App niet worden vertrouwd met het oog op medische diagnose of als aanbeveling voor medische zorg of behandeling. De informatie op deze app is geen vervanging voor professioneel medisch advies, diagnose of behandeling. Alle inhoud, inclusief tekst, afbeeldingen, afbeeldingen en informatie die deze via deze app bevat of beschikbaar is, dient uitsluitend voor algemene informatiedoeleinden
Geen vertrouwen
U MAG NOOIT VERTROUWEN OP INFORMATIE DIE U HEBT VERKREGEN MET DEZE APP VOOR IEDERE DIAGNOSE OF AANBEVELING VOOR MEDISCHE BEHANDELING. U MAG NOOIT DE INFORMATIE DIE ONTVANGT VAN DEZE APP VERTROUWEN ALS ALTERNATIEF VOOR MEDISCH ADVIES VAN UW ARTS OF ANDERE PROFESSIONELE GEZONDHEIDSZORG AANBIEDER.
U MAG NOOIT PROFESSIONEEL MEDISCH ADVIES OF VERTRAGING VOOR HET GEVEN VAN EEN MEDISCHE BEHANDELING NEGEREN ALS GEVOLG VAN ENIGE INFORMATIE DIE U HEBT GEZIEN OF TOEGELATEN VIA DEZE APP. ALS U SPECIFIEKE VRAGEN HEEFT OVER IEDERE MEDISCHE KWESTIE, DIENT U UW ARTS OF ANDERE PROFESSIONELE GEZONDHEIDSZORGVERLENER TE RAADPLEGEN. ALS U DENKT DAT U LICHAMELIJK LIJKT VAN ELKE MEDISCHE VOORWAARDE, DIENT U ONMIDDELLIJK MEDISCHE AANDACHT TE KRIJGEN.
geen garantie
De informatie die door deze app wordt verstrekt, wordt geleverd "zoals ze is" zonder enige uitdrukkelijke of impliciete verklaringen of garanties. ECLECKTIC GOODIES INC geeft geen verklaringen of garanties met betrekking tot de medische of andere informatie in deze app.
ECLECKTIC GOODIES INC garandeert niet dat:
- De informatie die door deze app wordt verstrekt, is constant beschikbaar, of is überhaupt beschikbaar;
of
- De informatie die door deze app wordt verstrekt, is volledig, waarheidsgetrouw, nauwkeurig, actueel of niet misleidend.
ECLECKTIC GOODIES INC IS NIET VERANTWOORDELIJK OF AANSPRAKELIJK VOOR ENIG ADVIES, CURSUS VAN BEHANDELING, DIAGNOSE OF ENIGE ANDERE INFORMATIE, DIENSTEN OF PRODUCTEN DIE U VERKRIJGT VIA HET GEBRUIK VAN DEZE APP.
Door app te downloaden met behulp van de appyou die hebt erkend dat:
- U HEBT HET BEGRIJPEN DEZE MEDISCHE DISCLAIMER GELEZEN.
- U GAAT AKKOORD MET DEZE MEDISCHE DISCLAIMER.
- U GAAT ERMEE AKKOORD DAT DEZE MEDISCHE DISCLAIMER WETTELIJK VERBONDEN IS, DIE ONMIDDELLIJK BIJ HET DOWNLOADEN VAN DE APP EFFECTIEF IS.
ALS JE NIET AKKOORD GAAT MET DEZE MEDISCHE DISCLAIMER, MOET JE DE APP NIET OPENEN, DE APP ONDER JE NAAM REGISTREREN OF DE APP GEBRUIKEN.
What's new in the latest 8.0.0
AHA 17 SEGMENT INTERACTIVE HEA APK -informatie
Oude versies van AHA 17 SEGMENT INTERACTIVE HEA
AHA 17 SEGMENT INTERACTIVE HEA 8.0.0
AHA 17 SEGMENT INTERACTIVE HEA 6.0.0
Supersnel en veilig downloaden via de APKPure-app
Eén klik om XAPK/APK-bestanden op Android te installeren!






