AHA 17 SEGMENT INTERACTIVE HEA
20.4 MB
Taille de fichier
Everyone
Android 5.0+
Android OS
À propos de AHA 17 SEGMENT INTERACTIVE HEA
Apprenez rapidement le modèle cardiaque segment AHA 17, indispensable pour tous les étudiants écho!
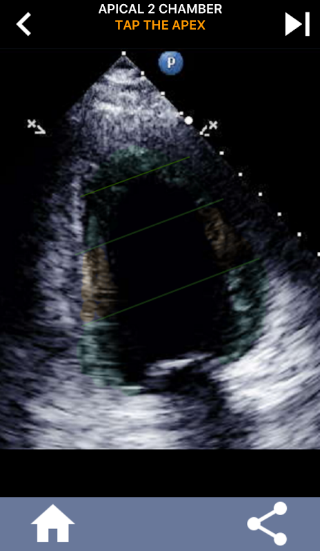
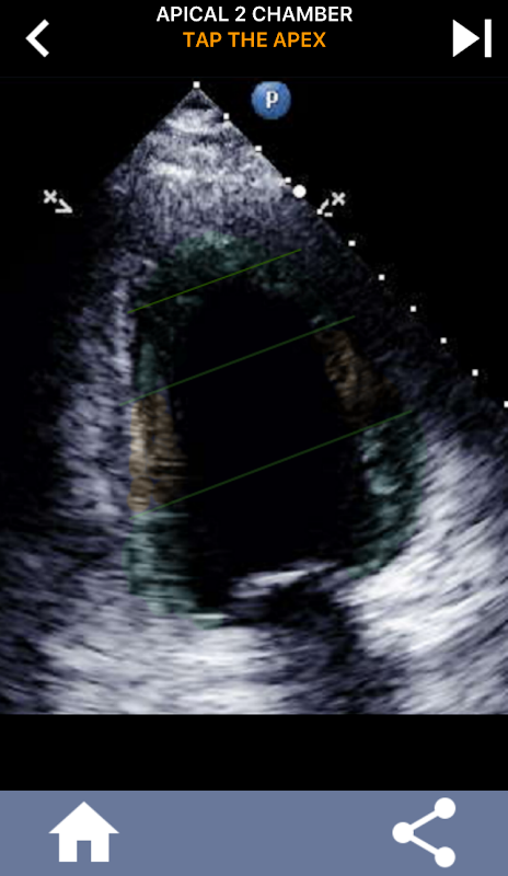
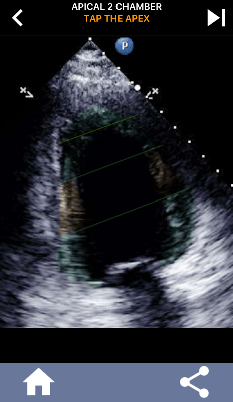
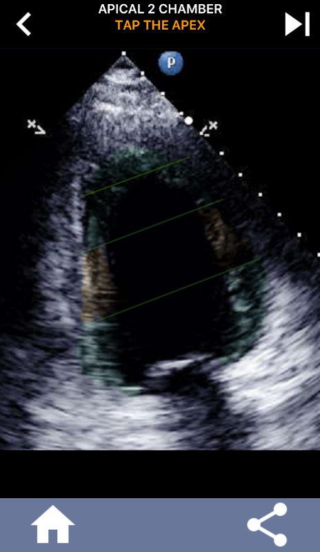
Il est essentiel que les échocardiographes à ultrasons apprennent la segmentation cardiaque du ventricule gauche de l'American Heart Association en 17 segments, qui est la norme largement utilisée par de nombreuses autres modalités d'imagerie telles que l'imagerie par résonance magnétique, les tests nucléaires cardiaques, etc. des segments affectés et de la fonction. Plusieurs fois, la personne qui lit votre écho vous demandera "qu'avez-vous vu?" et répondre avec un emplacement exact de la zone touchée est ce qui est attendu.
Cette application contient toutes les vues d'écho montrant le myocarde segmenté en AHA et vous demandera de taper le bon segment. Personnellement, je trouve que les interrogations répétitives me conviennent mieux lorsque j'ai besoin d'apprendre / de mémoriser rapidement un sujet. Si vous êtes étudiant en échographie et que vous étudiez écho / TTE, je pense que ce serait un excellent complément à vos études.
Regardez le lien vidéo youtube pour voir l'application en action
APP CLAUSE DE NON-RESPONSABILITÉ
Aucun conseil
Cette application («App») fournit uniquement des informations, ne constitue en aucun cas un conseil médical ni un traitement et ne peut être traitée en tant que telle par l'utilisateur. En tant que tel, cette application ne peut pas être invoquée à des fins de diagnostic médical ou de recommandation de soins ou de traitement médicaux. Les informations sur cette appli ne peuvent se substituer à un avis médical professionnel, à un diagnostic ou à un traitement. Tous les contenus, y compris les textes, graphiques, images et informations, contenus dans cette appli ou disponibles via cette appli sont uniquement à des fins d'information générale
Pas de confiance
VOUS NE DEVEZ JAMAIS VOUS FIER AUX INFORMATIONS OBTENUES À L'AIDE DE CET APP POUR TOUT DIAGNOSTIC OU RECOMMANDATION POUR UN TRAITEMENT MÉDICAL. VOUS NE DEVEZ JAMAIS VOUS FIER AUX INFORMATIONS REÇUES DE CETTE APP, EN ALTERNATIVE AUX CONSEILS MÉDICAUX DE VOTRE MÉDECIN OU DE TOUT AUTRE FOURNISSEUR DE SOINS DE SANTÉ PROFESSIONNELS.
VOUS NE DEVEZ JAMAIS ÉCHOUER DES CONSEILS MÉDICAUX PROFESSIONNELS OU RETARDER UN TRAITEMENT MÉDICAL À LA SUITE DE TOUT RENSEIGNEMENT QUE VOUS AVEZ VU OU ACCÈS PAR CETTE APP. SI VOUS AVEZ DES QUESTIONS SPÉCIFIQUES SUR DES QUESTIONS MÉDICALES, CONSULTEZ VOTRE MÉDECIN OU UN AUTRE FOURNISSEUR DE SOINS DE SANTÉ PROFESSIONNELS. SI VOUS PENSEZ QUE VOUS POUVEZ ÊTRE SOUFFRANT DE TOUT ÉTAT MÉDICAL, VOUS DEVEZ CONSULTER UN MÉDECIN IMMÉDIATE.
Aucune garantie
Les informations fournies par cette appli sont fournies «telles quelles», sans aucune déclaration ni garantie, expresse ou implicite. ECLECKTIC GOODIES INC ne fait aucune déclaration ni garantie quant aux informations médicales ou autres contenues dans cette appli.
ECLECKTIC GOODIES INC ne garantit pas que:
- Les informations fournies par cette application seront constamment disponibles, ou disponibles du tout;
ou
- Les informations fournies par cette appli sont complètes, vraies, exactes, à jour ou non-trompeuses.
ECLECKTIC GOODIES INC N'EST RESPONSABLE D'AUCUN CONSEIL, COURS DE TRAITEMENT, DIAGNOSTIC OU DE TOUT AUTRE RENSEIGNEMENT, SERVICES OU PRODUITS OBTENUS PAR L'UTILISATION DE CET APP.
En téléchargeant l'application à l'aide de l'application, vous avez reconnu que:
- VOUS AVEZ LU LA COMPRÉHENSION DE CET AVIS DE NON-RESPONSABILITÉ MÉDICALE.
- VOUS ACCEPTEZ CET AVIS DE NON-RESPONSABILITÉ MÉDICALE.
- VOUS ACCEPTEZ D'ÊTRE LIÉ LÉGALEMENT PAR LE PRÉSENT AVIS DE NON-RESPONSABILITÉ MÉDICALE, QUI PREND EFFET IMMÉDIATEMENT AU TÉLÉCHARGEMENT DE L'APP.
Si vous n'acceptez pas d'être légalement lié par le présent avis de non-responsabilité médicale, vous ne pouvez pas accéder à l'application, enregistrer l'application sous votre nom ni utiliser l'application.
What's new in the latest 8.0.0
Informations AHA 17 SEGMENT INTERACTIVE HEA APK
Vieilles versions de AHA 17 SEGMENT INTERACTIVE HEA
AHA 17 SEGMENT INTERACTIVE HEA 8.0.0
AHA 17 SEGMENT INTERACTIVE HEA 6.0.0
Téléchargement super rapide et sûr via l'application APKPure
Un clic pour installer les fichiers XAPK/APK sur Android!






