Oписание AHA 17 SEGMENT INTERACTIVE HEA
Быстро узнать AHA 17 сегмента модели сердца, которые важны для всех эхо студентов!
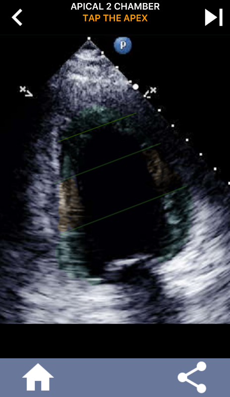
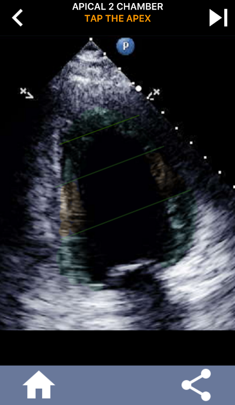
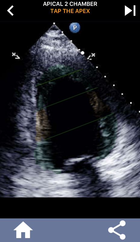
Для ультразвуковых эхокардиографов важно изучить сегментацию сердца левого желудочка Американской ассоциации сердца на 17 сегментов, которая является стандартом, широко используемым многими другими методами визуализации, такими как магнитно-резонансная томография, сердечные ядерные тесты и т. Д., Для описания местоположения затронутых сегментов и функции. Много раз человек, читающий ваше эхо, спросит: «Что вы видели?» и ответ с точным местоположением затронутой области - то, что ожидается.
Это приложение содержит все эхо-изображения, показывающие сегментированный миокард АНА, и предложит вам нажать на нужный сегмент. Я лично считаю, что повторяющиеся тесты лучше всего подходят для меня, когда мне нужно быстро выучить / запомнить предмет. Если вы студент УЗИ, изучающий эхо / TTE, я думаю, это будет отличным дополнением к вашей учебе.
Посмотрите ссылку на видео YouTube, чтобы увидеть приложение в действии
ОТКАЗ ОТ ОТВЕТСТВЕННОСТИ
Нет совета
Это приложение («Приложение») предоставляет только информацию, не является медицинским советом или рекомендацией по лечению и не может рассматриваться пользователем как таковое. Таким образом, это приложение не может быть использовано для целей медицинской диагностики или в качестве рекомендации для медицинского обслуживания или лечения. Информация в этом приложении не является заменой профессионального медицинского совета, диагностики или лечения. Весь контент, включая текст, графику, изображения и информацию, содержащиеся в этом приложении или доступные через него, предназначен только для общих информационных целей.
Нет уверенности
ВЫ НЕ ДОЛЖНЫ полагаться на любую информацию, полученную при использовании этого приложения для диагностики или рекомендации по медицинскому лечению. ВЫ НЕ ДОЛЖНЫ полагаться на информацию, полученную из этого приложения, в качестве альтернативы медицинской консультации от вашего врача или другого профессионального поставщика здравоохранения.
ВЫ НЕ ДОЛЖНЫ ОТКАЗАТЬСЯ ОТ ПРОФЕССИОНАЛЬНЫХ МЕДИЦИНСКИХ КОНСУЛЬТАЦИЙ ИЛИ ЗАДЕРЖКИ, ИЩУЩЕЙ МЕДИЦИНСКУЮ ЛЕЧЕНИЕ В РЕЗУЛЬТАТЕ ЛЮБОЙ ИНФОРМАЦИИ, КОТОРУЮ ВЫ УЗНАЛИ НА ИЛИ К ДОСТУПЕ, НАХОДЯЩИХСЯ В ЭТОМ ПРИЛОЖЕНИИ Если у вас есть какие-либо конкретные вопросы о каком-либо медицинском вопросе, вы должны проконсультироваться со своим врачом или другим профессиональным поставщиком медицинских услуг. ЕСЛИ ВЫ ДУМАЕТЕ, ЧТО ВЫ МОЖЕТЕ СТРАДАТЬ ИЗ ЛЮБОГО МЕДИЦИНСКОГО СОСТОЯНИЯ, ВЫ ДОЛЖНЫ ИМЕТЬ НЕМЕДЛЕННУЮ ВРАЧУ.
Нет гарантии
Информация, предоставляемая этим приложением, предоставляется «как есть» без каких-либо заверений или гарантий, явных или подразумеваемых. ECLECKTIC GOODIES INC не дает никаких заверений или гарантий в отношении медицинской или другой информации в этом приложении.
ECLECKTIC GOODIES INC не гарантирует, что:
- Информация, предоставленная этим приложением, будет постоянно доступна или доступна вообще;
или же
- Информация, предоставленная этим приложением, является полной, достоверной, точной, актуальной или не вводящей в заблуждение.
ECLECKTIC GOODIES INC НЕ НЕСЕТ ОТВЕТСТВЕННОСТИ ИЛИ ОТВЕТСТВЕННОСТИ ЗА ЛЮБЫЕ КОНСУЛЬТАЦИИ, ПРОЦЕСС ЛЕЧЕНИЯ, ДИАГНОСТИКУ ИЛИ ЛЮБУЮ ДРУГУЮ ИНФОРМАЦИЮ, УСЛУГИ ИЛИ ПРОДУКТЫ, КОТОРЫЕ ВЫ ПОЛУЧАЕТЕ ЧЕРЕЗ ИСПОЛЬЗОВАНИЕ ЭТОГО ПРИЛОЖЕНИЯ.
Загружая приложение с помощью приложения, вы подтверждаете, что:
- ВЫ ПРОЧИТАЛИ, ЧТОБЫ ПОНИМАТЬ ЭТОТ МЕДИЦИНСКИЙ ОТКАЗ.
- ВЫ СОГЛАШАЕТЕСЬ С ЭТИМ ОТКАЗОМ ОТ МЕДИЦИНЫ.
- ВЫ СОГЛАШАЕТЕСЬ СОБЛЮДАТЬ ЮРИДИЧЕСКУЮ ОТКАЗ ОТ ОТВЕТСТВЕННОСТИ ЗА МЕДИЦИЮ, КОТОРЫЙ СЛЕДУЕТ НЕМЕДЛЕННО ВЛИЯТЬ НА СКАЧИВАНИЕ ПРИЛОЖЕНИЯ.
ЕСЛИ ВЫ НЕ СОГЛАСНЫ С ЮРИДИЧЕСКИМ ОБЯЗАТЕЛЬСТВОМ, СВЯЗАННЫМ С ДАННЫМ ОТКАЗОМ ОТ МЕДИЦИНЫ, ВЫ НЕ МОЖЕТЕ ДОСТУПИТЬ К ПРИЛОЖЕНИЮ, РЕГИСТРАЦИИ ПРИЛОЖЕНИЯ ПОД ИМЕНЕМ ИЛИ ИСПОЛЬЗОВАНИЯ ПРИЛОЖЕНИЯ.
Что нового в последней версии 8.0.0
Информация AHA 17 SEGMENT INTERACTIVE HEA APK
Старые Версии AHA 17 SEGMENT INTERACTIVE HEA
AHA 17 SEGMENT INTERACTIVE HEA 8.0.0
AHA 17 SEGMENT INTERACTIVE HEA 6.0.0
Супер Быстрая и Безопасная Загрузка через Приложение APKPure
Один клик для установки XAPK/APK файлов на Android!






